образование почки

Почки, мочеточники, мочевой пузырь, уретра. Простата и яички.

Модератор: KsV

Ответить
Аватара пользователя
dok333
Сообщения: 142
Зарегистрирован: 29 окт 2010, 09:59
Откуда: Ukraine,Kharkiv
Контактная информация:

образование почки

Сообщение dok333 »

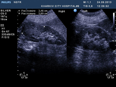
Пациентка 76 лет. Образование правой почки. Вероятно ПКР. Рекомендовал КТ и консультацию уролога.

phpBB [video]

phpBB [video]

phpBB [video]

phpBB [video]

phpBB [video]
Вложения
1.jpg
Аватара пользователя
KsV
Администратор
Сообщения: 2191
Зарегистрирован: 22 фев 2009, 13:38
Откуда: Беларусь-Lietuva
Контактная информация:

Re: образование почки

Сообщение KsV »

Согласен.
Ответить

Вернуться в «Уронефрологические исследования»

Кто сейчас на конференции

Сейчас этот форум просматривают: нет зарегистрированных пользователей и 2 гостя