Мужчина, 40 лет, поступил в кадиологическое отделение с жалобами на сердцебиение, слабость. При обследовании: ЭКГ мерцательная аритмия. тахисистоличская форма с ЧСС 175 в мин. признаки ишемии передне-боковой стенки, перегрузка правого желудочка. ОАК. ОАМ без особенностей.
Из анамнеза: около 2х недель назад была простуда, температура, сердцебиение почувствовал неделю назад.
Объективно: состояние удовлетворительное, жалобы сохраняются(см. выше). Тоны сердца глухие, ЧСС 180 в мин, границы сердца расширены влево и вправо. В легких дыхание везикулярное, в нижних отделах с обеих сторон при перкуссии притупление (при обследовании выявлено около 500 мл жидкости с фибрином с обеих сторон).Живот мягкий, безболезненный. Отёков нет.
ЭхоКГ: ПЖ-40см, ЛЖ КДР -65,КДО-178мл, КСО-121мл, МЖП сис.11см\ диаст.12, ЗСЛЖ сис 11\13, ФВ- 32%, давление в легочной артерии 14ммHg, умеренная дилтация ЛП и ПП ( регургитация митральная 1 ст. трикуспидальная 2ст).
УЗИ СЕРДЦА Сегодняшняя находка... Ваше мнение?
Модератор: dok333
УЗИ СЕРДЦА Сегодняшняя находка... Ваше мнение?
- Вложения
-
- -B_6.23.2009.15.43.28_1.rar
- небольшой ролик
- (1.13 МБ) 269 скачиваний
Re: УЗИ СЕРДЦА Сегодняшняя находка... Ваше мнение?
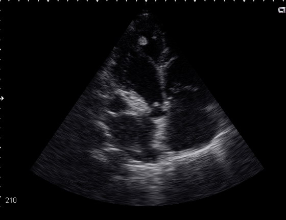
В области верхушки левого желудочка лоцируются 2 округлых образования одно из котрых находится на дополнительной хорде. Есть мнение, что это внеклапанный бак.эндокардит, а есть, что это миокардит с тромбом верхушки ЛЖ. Ваше мнение?
- KsV
- Администратор
- Сообщения: 2191
- Зарегистрирован: 22 фев 2009, 13:38
- Откуда: Беларусь-Lietuva
- Контактная информация:
Re: УЗИ СЕРДЦА Сегодняшняя находка... Ваше мнение?
Внешне структуры в области верхушки мало похожи на тромб. Можно попробовать рассмотреть эту зону с помощью конвекса с бОльшей частотой сканирования. В целом, клиническая оценка состояния пациента может быть более полезной для диагноза, чем гадания по УЗ-картинке.
Re: УЗИ СЕРДЦА Сегодняшняя находка... Ваше мнение?
Сегодня у больного развилась клиника инфаркта мозга. При ЭхоКГ в области верхушки никаких дополнительных структур не обнаружено.
Учитывая клинику, лабораторные данные (не было ни лейкоцитоза, ни высокого СОЭ, а бакэндокардит-это всё же септическое состояние, и кстати, в последнем анализе СОЭ было 0.5мм\ч) думаю вероятнее это был тромб.
Учитывая клинику, лабораторные данные (не было ни лейкоцитоза, ни высокого СОЭ, а бакэндокардит-это всё же септическое состояние, и кстати, в последнем анализе СОЭ было 0.5мм\ч) думаю вероятнее это был тромб.
Re: УЗИ СЕРДЦА Сегодняшняя находка... Ваше мнение?
Описанная ЭХО-картина в большей степени соответствует ДКМП, чем инфекционному эндокардиту. А для ДКМП (или если хотите миокардита Абрамова - Фидлера) характерно пристеночное тромбообразование. А тем более на фоне фибрилляции предсердий
Кто сейчас на конференции
Сейчас этот форум просматривают: нет зарегистрированных пользователей и 1 гость