УЗИ молочной железы

Матка и придатки. Молочные железы.
Изображения для консультаций
Ответить
Аватара пользователя
KsV
Администратор
Сообщения: 2191
Зарегистрирован: 22 фев 2009, 13:38
Откуда: Беларусь-Lietuva
Контактная информация:

УЗИ молочной железы

Сообщение KsV »

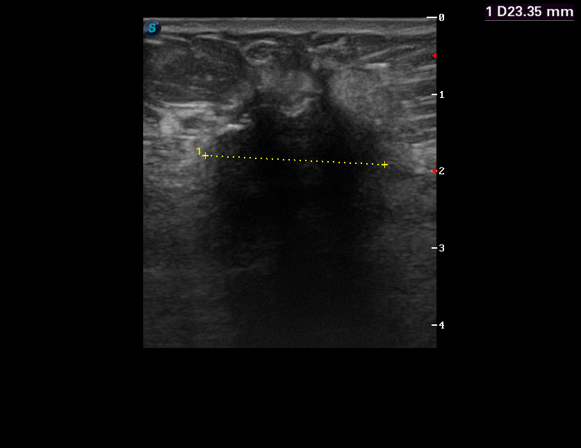
Бабушка 1936 г, правый сосок втянут

phpBB [video]

sep052014091832_1.jpg
Похоже что есть?
zubr
Сообщения: 15
Зарегистрирован: 17 ноя 2009, 17:45
Контактная информация:

Re: УЗИ молочной железы

Сообщение zubr »

[quote="KsV"]Бабушка 1936 г, правый сосок втянут
Похоже что есть?
А что там в подмышечной впадине? Но очень похоже... и должно определяться пальпаторно,судя по размерам.
Аватара пользователя
KsV
Администратор
Сообщения: 2191
Зарегистрирован: 22 фев 2009, 13:38
Откуда: Беларусь-Lietuva
Контактная информация:

Re: УЗИ молочной железы

Сообщение KsV »

zubr писал(а):А что там в подмышечной впадине? Но очень похоже... и должно определяться пальпаторно,судя по размерам.
Да, пальпаторно есть.
Бабушку отправили к онкологам.
Ответить

Вернуться в «Гинекологические исследования»

Кто сейчас на конференции

Сейчас этот форум просматривают: нет зарегистрированных пользователей и 1 гость