Перелом нижней челюсти

Кости, суставы, мышцы, мягкие ткани.
Только верифицированые изображения
Ответить
Аватара пользователя
KsV
Администратор
Сообщения: 2189
Зарегистрирован: 22 фев 2009, 13:38
Откуда: Беларусь-Lietuva
Контактная информация:

Перелом нижней челюсти

Сообщение KsV »

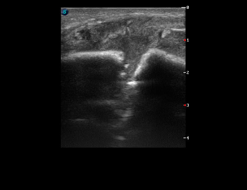
Молодой парень с припухлостью в области угла левой нижней челюсти.
Прислал ЛОР провести дифдиагноз между лимфаденитом и сиаладенитом.
dec052014102702_16.jpg
phpBB [video]


--Травма была?
--ЫЫЫ. Месяц назад...
58104a43_ab81_47de_b19e_a99ee09a57f1_PAMPARAS_DEIVYDAS_0.jpg
Ответить

Вернуться в «Musculoskeletal»

Кто сейчас на конференции

Сейчас этот форум просматривают: нет зарегистрированных пользователей и 1 гость