УЗИ - ВМС

Матка и придатки. Молочные железы.
Изображения для консультаций
Ответить
Аватара пользователя
KsV
Администратор
Сообщения: 2191
Зарегистрирован: 22 фев 2009, 13:38
Откуда: Беларусь-Lietuva
Контактная информация:

УЗИ - ВМС

Сообщение KsV »

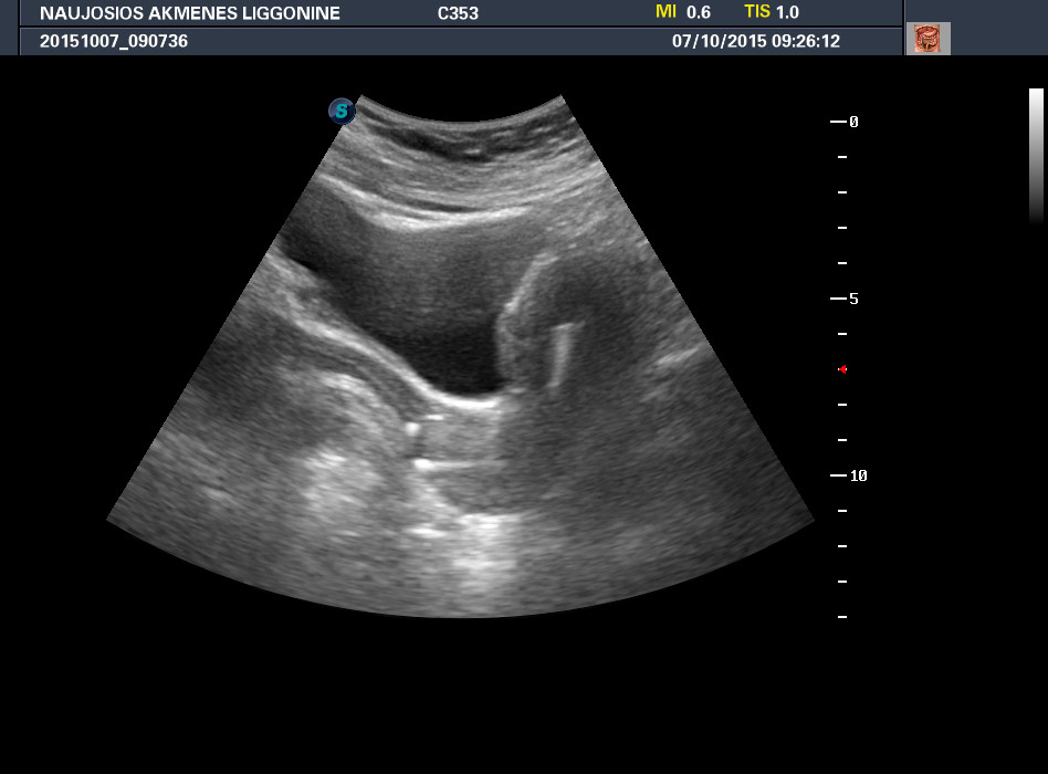
Смущает форма и положение ВМС в матке - чувство что оно продолжается в шейку и даже перфорирует её.
Что за девайс такой? - ни разу подобного не видел.
oct072015092612_3.jpg
Ответить

Вернуться в «Гинекологические исследования»

Кто сейчас на конференции

Сейчас этот форум просматривают: нет зарегистрированных пользователей и 1 гость