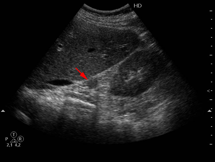
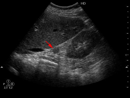
Узловая гиперплазия правого надпочечника. Right adrenal nodular hyperplasia.

Почки, мочеточники, мочевой пузырь, уретра. Простата и яички.

Модератор: KsV

Ответить
Аватара пользователя
KsV
Администратор
Сообщения: 2191
Зарегистрирован: 22 фев 2009, 13:38
Откуда: Беларусь-Lietuva
Контактная информация:

Узловая гиперплазия правого надпочечника. Right adrenal nodular hyperplasia.

Сообщение KsV »

Женщина средних лет, жалоб нет.

phpBB [video]

07-12-03-082636_20071203_082637_0002.jpg
Ответить

Вернуться в «Уронефрологические исследования»

Кто сейчас на конференции

Сейчас этот форум просматривают: нет зарегистрированных пользователей и 2 гостя