Медуллярная кистозная дисплазия

Изображения для консультации
Ответить
Bugati
Сообщения: 7
Зарегистрирован: 30 апр 2016, 09:43
Контактная информация:

Медуллярная кистозная дисплазия

Сообщение Bugati »

Ребенок 9мес, старшая сестра 9лет с ювенильным поликистозом (в н.в. ХБП 2).
Родитель внимательно относились к последующей беременности, на скрининге и в родильном доме патологии не было выявлено.
Первые изменения в 1 мес, увеличение размеров почек.
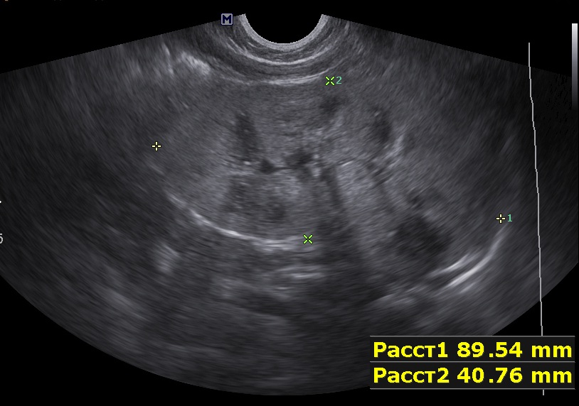
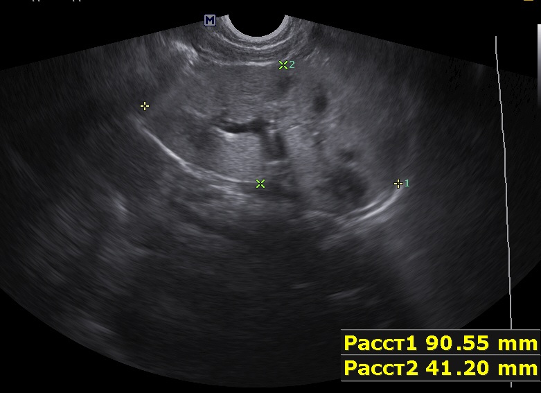
Осмотрен мной ребенок впервые, обращено внимание на большие почки, 90х40мм, паренхима 17-18мм, корковый слой гиперэхогенный, пирамидки дифференцируются. Линейным датчиком определяется: кисты или расширенные канальцы в пирамидках. Структура печени в 1 мес была не изменена, в н.в. отмечается перипортальный фиброз, размеры печени и селезенки увеличены.
Поставил медуллярную кистозную дисплазию, почитав литературу предполагаю нефронофтиз Фанкони, но к сожалению не нашел картинки только описание данной болезни. Поделитесь своим мнением.
Вложения
правая почка.jpg
левая почка.jpg
структура линейным датчиком.jpg
Аватара пользователя
KsV
Администратор
Сообщения: 2189
Зарегистрирован: 22 фев 2009, 13:38
Откуда: Беларусь-Lietuva
Контактная информация:

Re: Медуллярная кистозная дисплазия

Сообщение KsV »

Согласен с Вашим мнением.
В моей коллекции картинок ювенильного нефронофтиза, к сожалению, нет.
Ответить

Вернуться в «Исследования в педиатрии»

Кто сейчас на конференции

Сейчас этот форум просматривают: нет зарегистрированных пользователей и 1 гость