Селезенка

Печень, желчный пузырь, поджелудочная железа, селезенка. Кишечник.
Изображения для консультации
Ответить
Аватара пользователя
KsV
Администратор
Сообщения: 2189
Зарегистрирован: 22 фев 2009, 13:38
Откуда: Беларусь-Lietuva
Контактная информация:

Селезенка

Сообщение KsV »

Думаю, что ситуация ясна, но нужно обсудить.
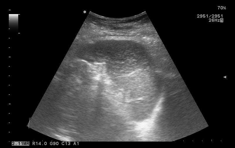
Исследование 2014 года.

Женщина 65 лет, с мерцательной аритмией и сердечной недостаточностью.

Вот такая селезенка.
333_20140320_ABDOMEN_0007.jpg
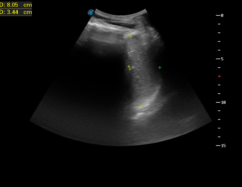
Свежее исследование
20171024_090513_10.jpg

Какие будут мнения?
Ответить

Вернуться в «Абдоминальные исследования»

Кто сейчас на конференции

Сейчас этот форум просматривают: нет зарегистрированных пользователей и 2 гостя