КТ Малого таза.

Почки, мочеточники, мочевой пузырь, уретра. Простата и яички.

Модератор: KsV

Ответить
Аватара пользователя
Dr.Mario
Эксперт
Сообщения: 160
Зарегистрирован: 17 мар 2009, 07:36
Контактная информация:

КТ Малого таза.

Сообщение Dr.Mario »

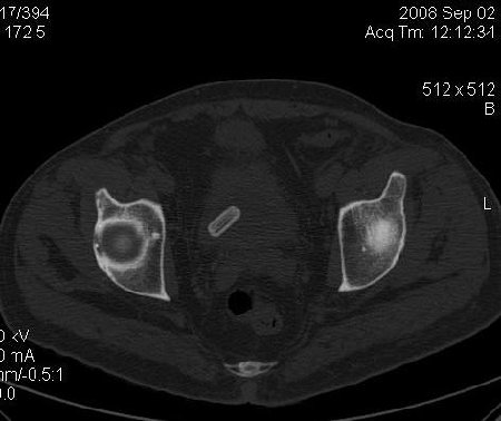
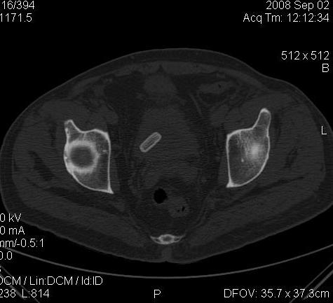
Что в мочевом пузыре? :?: ;)
Вложения
Bladder foreign body0001.jpg
Bladder foreign body0002.jpg
Bladder foreign body0003.jpg
Let me see...
www.radiographia.ru
Аватара пользователя
Dr.Mario
Эксперт
Сообщения: 160
Зарегистрирован: 17 мар 2009, 07:36
Контактная информация:

Re: КТ Малого таза.

Сообщение Dr.Mario »

Я тоже так думал! Урологи выполнили цистоскопию, оказалось камень, такой причудливой формы.
Let me see...
www.radiographia.ru
Ответить

Вернуться в «Уронефрологические исследования»

Кто сейчас на конференции

Сейчас этот форум просматривают: нет зарегистрированных пользователей и 0 гостей