Тучная пациентка с одышкой.
Тучная пациентка с одышкой.
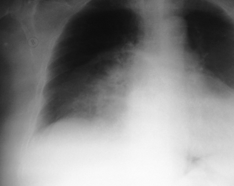
Рентгенография ОГК. Тучная пациентка с одышкой.
Re: Тучная пациентка с одышкой.
Неужели на сайте нет не одного рентгенолога?
Или снимок очень сложный? 
Re: Тучная пациентка с одышкой.
а всетаки что это??? снимки немного расплывчатые)))
Re: Тучная пациентка с одышкой.
Справа в прикорневой зоне,на фоне инфильтрации л.ткани,очаг расспада?Корни расширены на фоне увеличеного сердца.Не плохо бы посмотреть и боковой.Но,наверное у Марио на КТ был уже ответ.Так что же было у этой пациентки?Абсцедирование?Но может быть и петля кишечника?
Re: Тучная пациентка с одышкой.
правосторонний пневмоторакс (справа легочный рисунок не прослеживается; коллабированное легкое) в области шеи толи артефакт то ли кальцинированный л/у но больше смущает объёмное образование больше справа в грудной клетке с горизонтальным уровнем жидкости; дала бы барий чтоб отдифференцировать(грудной желудок или дивертикул пищевода)
Кто сейчас на конференции
Сейчас этот форум просматривают: нет зарегистрированных пользователей и 2 гостя