УЗИ панкреас, болевой приступ

Печень, желчный пузырь, поджелудочная железа, селезенка. Кишечник.
Только верифицированые изображения
Аватара пользователя
KsV
Администратор
Сообщения: 2189
Зарегистрирован: 22 фев 2009, 13:38
Откуда: Беларусь-Lietuva
Контактная информация:

УЗИ панкреас, болевой приступ

Сообщение KsV »

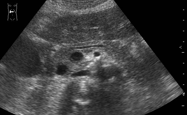
Молодая женщина с болями в животе.
Продольная сонограмма панкреас
Продольная сонограмма панкреас
Какое заключение можно сделать по этой сонограмме?
Какова дальнейшая тактика ведения больной?
Брехт
Сообщения: 99
Зарегистрирован: 16 июн 2009, 08:13
Контактная информация:

Re: УЗИ панкреас, болевой приступ

Сообщение Брехт »

Острый панкреатит с абсцедированием(есть такой?).......------консервативная терапия
Аватара пользователя
KsV
Администратор
Сообщения: 2189
Зарегистрирован: 22 фев 2009, 13:38
Откуда: Беларусь-Lietuva
Контактная информация:

Re: УЗИ панкреас, болевой приступ

Сообщение KsV »

Брехт писал(а):Острый панкреатит с абсцедированием(есть такой?).......------консервативная терапия
А какие здесь есть признаки о.панкреатита с абсцедированием?
Аватара пользователя
Инга
Сообщения: 216
Зарегистрирован: 23 ноя 2009, 17:22
Контактная информация:

Re: УЗИ панкреас, болевой приступ

Сообщение Инга »

Очаговые образования головки ПЖ (кисты?) Рек-но КТ.
Аватара пользователя
KsV
Администратор
Сообщения: 2189
Зарегистрирован: 22 фев 2009, 13:38
Откуда: Беларусь-Lietuva
Контактная информация:

Re: УЗИ панкреас, болевой приступ

Сообщение KsV »

Инга писал(а):Очаговые образования головки ПЖ (кисты?) Рек-но КТ.
Инга, ну где здесь кисты? Где здесь очаговые изменения? Вы хотите получить повторный 2-хнедельный срок?
Вспоминаем нормальную анатомию!
Лилия
Сообщения: 25
Зарегистрирован: 24 ноя 2009, 09:36
Контактная информация:

Re: УЗИ панкреас, болевой приступ

Сообщение Лилия »

Жаль нет снимка во взаимоперпендикулярной плоскости.Можно предположить аневризму брюшного отдела аорты.
Аватара пользователя
KsV
Администратор
Сообщения: 2189
Зарегистрирован: 22 фев 2009, 13:38
Откуда: Беларусь-Lietuva
Контактная информация:

Re: УЗИ панкреас, болевой приступ

Сообщение KsV »

Лилия писал(а):Жаль нет снимка во взаимоперпендикулярной плоскости.Можно предположить аневризму брюшного отдела аорты.
Холодно. Аневризмы брюшного отдела аорты здесь нет.
Аватара пользователя
Инга
Сообщения: 216
Зарегистрирован: 23 ноя 2009, 17:22
Контактная информация:

Re: УЗИ панкреас, болевой приступ

Сообщение Инга »

"Срок" бы не помешал ... :P
Хотите сказать, что это норма? :oops:
Аватара пользователя
KsV
Администратор
Сообщения: 2189
Зарегистрирован: 22 фев 2009, 13:38
Откуда: Беларусь-Lietuva
Контактная информация:

Re: УЗИ панкреас, болевой приступ

Сообщение KsV »

Инга писал(а):"Срок" бы не помешал ... :P
Хотите сказать, что это норма? :oops:
Конечно же не норма.
zubr
Сообщения: 15
Зарегистрирован: 17 ноя 2009, 17:45
Контактная информация:

Re: УЗИ панкреас, болевой приступ

Сообщение zubr »

По моему это расширенный Вирсунгиев проток,нужно исключать патологию дуоденального сосочка-ФГС
Ответить

Вернуться в «Абдоминальные исследования»

Кто сейчас на конференции

Сейчас этот форум просматривают: нет зарегистрированных пользователей и 1 гость