УЗИ - Воспаление урахуса
Модератор: KsV
- KsV
- Администратор
- Сообщения: 2189
- Зарегистрирован: 22 фев 2009, 13:38
- Откуда: Беларусь-Lietuva
- Контактная информация:
УЗИ - Воспаление урахуса
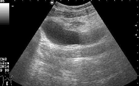
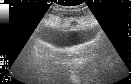
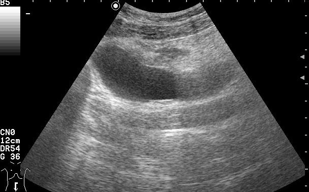
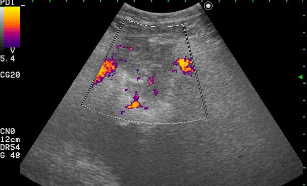
Женщина 42 лет с болями внизу живота, дизурическими явлениями, повышением температуры.
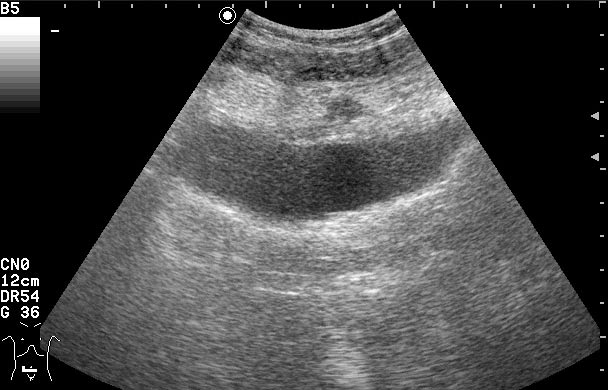
Сонограммы мочевого пузыря
Сонограммы мочевого пузыря
Re: Изменения мочевого пузыря
Как меня учили
, в случае обнаружения образования в области верхушки мочевого пузыря, я должна думать о патологии урахуса.
Похоже на опухоль, но по анамнезу я больше склоняюсь к воспалению урахуса!
Похоже на опухоль, но по анамнезу я больше склоняюсь к воспалению урахуса!
Re: Изменения мочевого пузыря
Нагноившаяся опухоль?
Re: Изменения мочевого пузыря
Согласна с первым постом-возможно нагноение урахуса(и клиника подходит)
- KsV
- Администратор
- Сообщения: 2189
- Зарегистрирован: 22 фев 2009, 13:38
- Откуда: Беларусь-Lietuva
- Контактная информация:
Re: Изменения мочевого пузыря
У Вас были хорошие учителяИнга писал(а):Как меня учили, в случае обнаружения образования в области верхушки мочевого пузыря, я должна думать о патологии урахуса.
Похоже на опухоль, но по анамнезу я больше склоняюсь к воспалению урахуса!
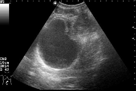
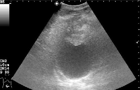
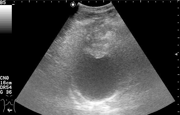
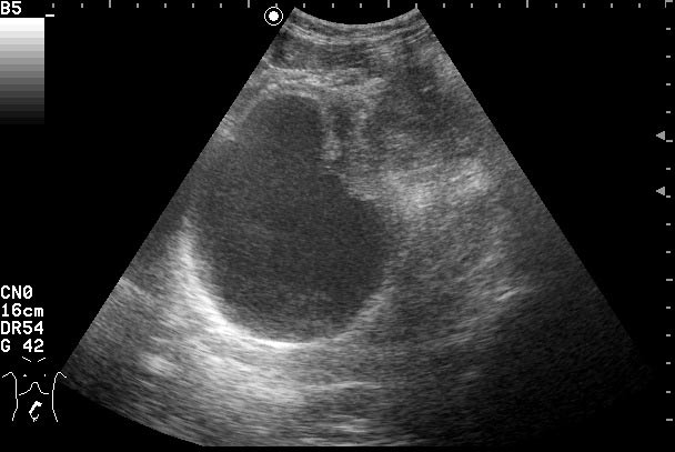
Пациентке была выполнена биопсия образования, назначена антибактериальная и противовоспалительная терапия.
Клиническое выздоровление через 2 недели. Сонограммы мочевого пузыря через 6 недель:
Re: Изменения мочевого пузыря
Значит учебный процесс был не зря! А учителя действительно очень хорошие! Спасибо! 
Re: Изменения мочевого пузыря
У Митькова аналогичное образование названо воспаление кисты урахуса,что в принципе суть не меняет,а предполагает аналогичную тактику.
Re: Изменения мочевого пузыря
Аналогичный случай на соседнем сайте радиографи у ребенка 6 лет,но более гипоэхогенное образование и четче выресовывается.Так же разные мнения...
- KsV
- Администратор
- Сообщения: 2189
- Зарегистрирован: 22 фев 2009, 13:38
- Откуда: Беларусь-Lietuva
- Контактная информация:
Re: Изменения мочевого пузыря
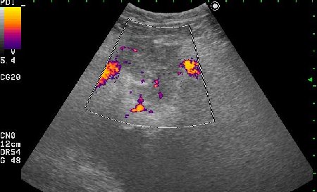
Если бы это было воспаление кисты, то мы бы видели изначально кисту с акустически непрозрачным содержимым. После лечения мы бы видели кисту с анэхогенным содержимым.zubr писал(а):У Митькова аналогичное образование названо воспаление кисты урахуса,что в принципе суть не меняет,а предполагает аналогичную тактику.
Там остаток урахуса (urachal remnant) - практически "родная" ткань без всякой клиники.besliu писал(а):Аналогичный случай на соседнем сайте радиографи у ребенка 6 лет,но более гипоэхогенное образование и четче выресовывается.Так же разные мнения...
В архив.
Кто сейчас на конференции
Сейчас этот форум просматривают: нет зарегистрированных пользователей и 1 гость