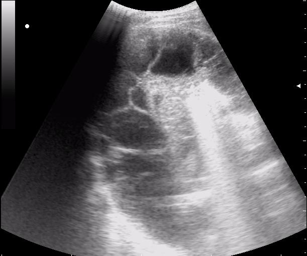
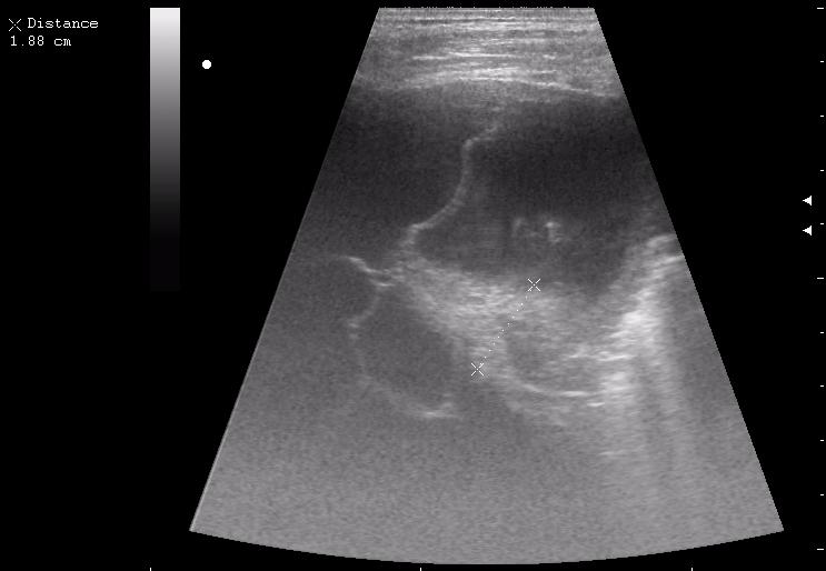
сегментарная пневмония. Экссудативный плеврит.

Только верифицированые изображения
Ответить
w.Thyme
Сообщения: 143
Зарегистрирован: 24 апр 2010, 17:46

сегментарная пневмония. Экссудативный плеврит.

Сообщение w.Thyme »

.
Вложения
30788.JPG
30790.JPG
Ответить

Вернуться в «Легкие, грудная клетка»

Кто сейчас на конференции

Сейчас этот форум просматривают: нет зарегистрированных пользователей и 1 гость