Киста почечного синуса имитирующая гидронефроз

Почки, мочеточники, мочевой пузырь, уретра. Простата и яички.

Модератор: KsV

Ответить
doctor PopovVV
Сообщения: 13
Зарегистрирован: 11 мар 2009, 01:24
Контактная информация:

Киста почечного синуса имитирующая гидронефроз

Сообщение doctor PopovVV »

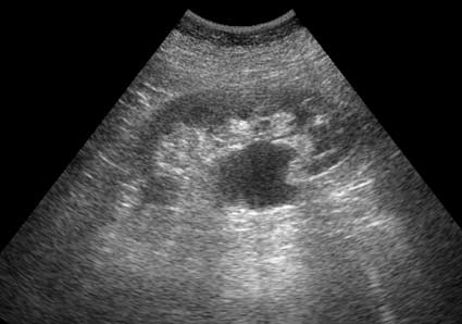
Сонограмма левой почки
Сонограмма левой почки
1web.jpg (16.33 КБ) 1220 просмотров
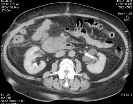
КТ с контрастированием (отсроченная фаза)
КТ с контрастированием (отсроченная фаза)
2web.jpg (13.67 КБ) 1229 просмотров
3D-реконструкция
3D-реконструкция
4web.jpg (11.29 КБ) 1230 просмотров
Ответить

Вернуться в «Уронефрологические исследования»

Кто сейчас на конференции

Сейчас этот форум просматривают: нет зарегистрированных пользователей и 1 гость