скрининг

Матка и придатки. Молочные железы.
Только верифицированые изображения
w.Thyme
Сообщения: 143
Зарегистрирован: 24 апр 2010, 17:46

скрининг

Сообщение w.Thyme »

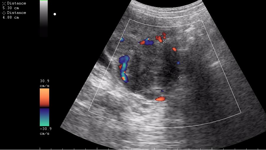
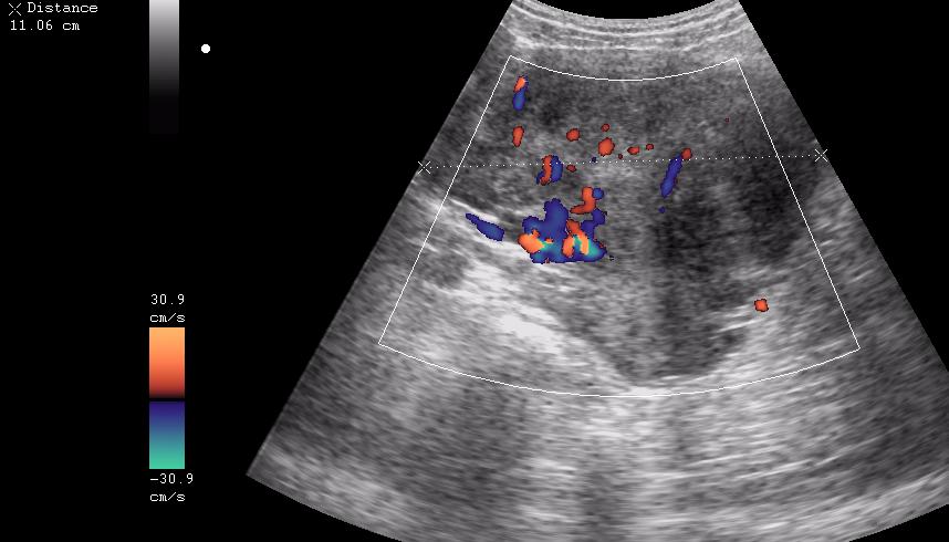
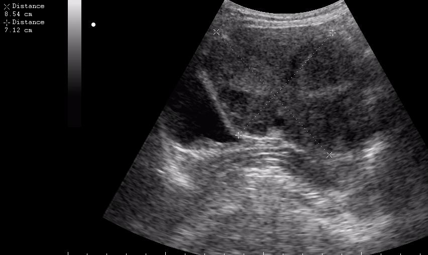
очередной "мозговой заезд" нашей администрации - скрининг ОМТ женщин перед уходом в отпуск...
(девушке 23 года. фиброматоз матки)
Вложения
по многочисленным письмам и заявкам телезрителей использована эксклюзивная опция - БОДИМАРКЕР!
по многочисленным письмам и заявкам телезрителей использована эксклюзивная опция - БОДИМАРКЕР!
33048.JPG
33047.JPG
33051.JPG
besliu
Сообщения: 142
Зарегистрирован: 11 окт 2009, 08:31
Контактная информация:

Re: скрининг

Сообщение besliu »

Почти как на сайте Марио,только возраст другой.Солидное гипоэхогенное негомогенное образование в области придатка слева довольно сложной структуры с усилением(?) кровотока по периферии-я за рак яичника
Аватара пользователя
KsV
Администратор
Сообщения: 2189
Зарегистрирован: 22 фев 2009, 13:38
Откуда: Беларусь-Lietuva
Контактная информация:

Re: скрининг

Сообщение KsV »

Ничего не могу сказать. Это может быть и mt -поражение печени - абдоминальное исследование требует бодимаркеров абдоминальных исследований. Если, конечно, сканы не супертипичные.

Какой диагноз и как верифицирован?
w.Thyme
Сообщения: 143
Зарегистрирован: 24 апр 2010, 17:46

Re: скрининг

Сообщение w.Thyme »

ещё раз - это матка 23-летней девушки. то есть, ВСЁ это, то что Вы видите, да-да, на весь экран - это матка.
Диагноз - фиброматоз. направлена строго на север и налево. к соседям. (онкодиспансер)
Вложения
33047 м.JPG
33047 м.JPG (22.2 КБ) 5007 просмотров
w.Thyme
Сообщения: 143
Зарегистрирован: 24 апр 2010, 17:46

Re: скрининг

Сообщение w.Thyme »

besliu писал(а):Почти как на сайте Марио,только возраст другой.Солидное гипоэхогенное негомогенное образование в области придатка слева довольно сложной структуры с усилением(?) кровотока по периферии-я за рак яичника
Марио посмотрел, сказал, что здесь фигня, у него круче, и уехал купацца.
TokarEE
Сообщения: 21
Зарегистрирован: 31 май 2010, 19:01
Откуда: РФ, ПФО
Контактная информация:

Re: скрининг

Сообщение TokarEE »

На недавно прошедшем цикле читал Медведев В.М. (перинатологию). Примерные слова: "чернобелые снимки не консультабельны в принципе, качественная консультация возможна только 3D обьемов".
:mrgreen: Не чувствую себя умнее профессора и президента, автора книг по которым учусь
ну если я в стандарт не укладываюсь - так и скажите, я не буду надоедать
Хочу Вас попросить: продолжать (!) скидывать интересные скрины и дальше, но специально для начинающих пользователей вроде меня ставить маркеры, или делать подписи (не только область исследования, но и какая проекция), в ряде случаем чтото из анамнеза.
ЗЫ: то что там не печень и так видно, проблема в том, что видимо косые проекции, то что указано как шейка, легко принять за узел, или смазанный срез яичника позади матки..... В этом плане КТ и ренген проще: там суммация изображений в стандартной проекции, в узи же помимо артефактом есть еще и полипроекционность срезов, любую норму можно вывести так, что будет "работа для онколога"
Аватара пользователя
KsV
Администратор
Сообщения: 2189
Зарегистрирован: 22 фев 2009, 13:38
Откуда: Беларусь-Lietuva
Контактная информация:

Re: скрининг

Сообщение KsV »

Для акушерско-гинекологических исследований, вероятно, так оно и есть, но что касается абдоминальных УЗИ, то здесь я с Медведевым не соглашусь.

Немного позже я постараюсь сделать тему о технически правильной сонографии.
О бодимаркерах. При проведении абдоминального УЗИ обычно выставляются маркеры с обозначением ориентиров брюшной полости (body), маркером датчика определяется его положение в момент сканирования. Кроме таких абдоминальных маркеров имеются "оргАнные" маркеры, которые обычно используются при специальных (ТВ, ТР, интраоперационных) исследованиях. Такие маркеры не дают представления о положении датчика на теле человека,а приблизительно указывают плоскость сканирования.
w.Thyme
Сообщения: 143
Зарегистрирован: 24 апр 2010, 17:46

Re: скрининг

Сообщение w.Thyme »

TokarEE писал(а):проблема в том, что видимо косые проекции, то что указано как шейка, легко принять за узел, или смазанный срез яичника позади матки..... В этом плане КТ и ренген проще: там суммация изображений в стандартной проекции, в узи же помимо артефактом есть еще и полипроекционность срезов, любую норму можно вывести так, что будет "работа для онколога"
єто не проблема, если орган деформирован наличием неопластического процесса, не факт, что он будет лежать в той проекции, в которой природой предусмотрено.

а времени реально на бодимаркері не хватает. да и не привікла я к ним - начинала на Алоке ssd 500 жуткая вещь! соответствует анекдоту - научитесь плавать, пустим воду.

самые скромные подсчеты - осмотрено сегодня 33 человека, это, стало быть где-то 45 исследований, работаю с 8 до 13 - 5 часов - значит где-то 9 человек в час из них 5 свежих ДТП - двое с повреждением внутренних органов один - просто жидкость в малом тазу. источник не нашла, будет КТ с контрастом. а я без медсестры, так что пишу сама (у меня фирменные бланки) а еще покурить надо сбегать. и когда мне при гаком плотном графике бодимаркеры ставить?
w.Thyme
Сообщения: 143
Зарегистрирован: 24 апр 2010, 17:46

Re: скрининг

Сообщение w.Thyme »

ну вот куда здесь ставить бодимаркер и какой?
Вложения
31249.JPG
31416.JPG
TokarEE
Сообщения: 21
Зарегистрирован: 31 май 2010, 19:01
Откуда: РФ, ПФО
Контактная информация:

Re: скрининг

Сообщение TokarEE »

:D
вы просто чудо!
Ничего не могу сказать. Это может быть и ...

в ожидании верификации....
Ответить

Вернуться в «Гинекологические исследования»

Кто сейчас на конференции

Сейчас этот форум просматривают: нет зарегистрированных пользователей и 1 гость