УЗИ, мочевой пузырь

Почки, мочеточники, мочевой пузырь, уретра. Простата и яички.

Модератор: KsV

Ответить
Аватара пользователя
KsV
Администратор
Сообщения: 2191
Зарегистрирован: 22 фев 2009, 13:38
Откуда: Беларусь-Lietuva
Контактная информация:

УЗИ, мочевой пузырь

Сообщение KsV »

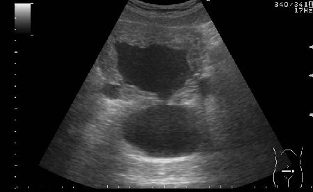
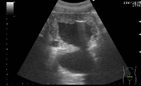
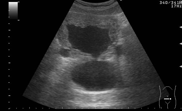
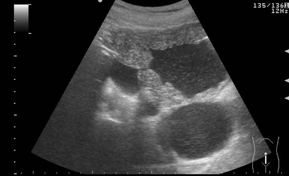
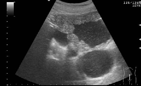
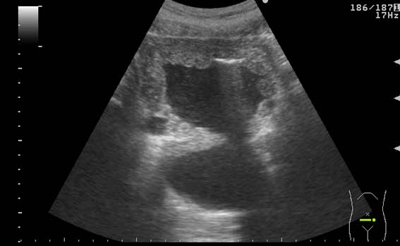
УЗИ мочевого пузыря у пожилого мужчины выявлены следующие изменения.
Как бы вы их расценили?
Вложения
1.jpg
2.jpg
4.jpg
Аватара пользователя
Dr.Mario
Эксперт
Сообщения: 160
Зарегистрирован: 17 мар 2009, 07:36
Контактная информация:

Re: УЗИ, мочевой пузырь

Сообщение Dr.Mario »

Signs of chronic urinary retention; evident thickening of the urinary bladder mucosa; large diverticulas. Residual volume evlaluation required; full prostatic assessment is recommended.
Let me see...
www.radiographia.ru
Аватара пользователя
KsV
Администратор
Сообщения: 2191
Зарегистрирован: 22 фев 2009, 13:38
Откуда: Беларусь-Lietuva
Контактная информация:

Re: УЗИ, мочевой пузырь

Сообщение KsV »

Dr.Mario писал(а):Signs of chronic urinary retention; evident thickening of the urinary bladder mucosa; large diverticulas. Residual volume evlaluation required; full prostatic assessment is recommended.
Excellent!
How many diverticulas do you see?
Аватара пользователя
Dr.Mario
Эксперт
Сообщения: 160
Зарегистрирован: 17 мар 2009, 07:36
Контактная информация:

Re: УЗИ, мочевой пузырь

Сообщение Dr.Mario »

I agree with previous post (Dr. Uzgraph); but there may be much more of them.
Off Topic: it is cool to write in English, Uoops! :D
Let me see...
www.radiographia.ru
Аватара пользователя
KsV
Администратор
Сообщения: 2191
Зарегистрирован: 22 фев 2009, 13:38
Откуда: Беларусь-Lietuva
Контактная информация:

Re: УЗИ, мочевой пузырь

Сообщение KsV »

Dr.Mario писал(а):I agree with previous post (Dr. Uzgraph); but there may be much more of them.
But really there are two ones on these pictures.
besliu
Сообщения: 142
Зарегистрирован: 11 окт 2009, 08:31
Контактная информация:

Re: УЗИ, мочевой пузырь

Сообщение besliu »

неравномерное утолщение стенок мочевого пузыря,признаки застоя в мочевом пузыре,расширенные дистальные отделы мочеточников,на первом снимке-дивертикул?слева,уввеличенная отечная простата
Аватара пользователя
KsV
Администратор
Сообщения: 2191
Зарегистрирован: 22 фев 2009, 13:38
Откуда: Беларусь-Lietuva
Контактная информация:

Re: УЗИ, мочевой пузырь

Сообщение KsV »

besliu писал(а):неравномерное утолщение стенок мочевого пузыря,признаки застоя в мочевом пузыре,расширенные дистальные отделы мочеточников,на первом снимке-дивертикул?слева,уввеличенная отечная простата
Все верно, за исключением того что простаты на картинках нет. Здорово, что Вы заметили расширение мочеточников. Есть также воздух в МП после цистоскопии.

В архив.
besliu
Сообщения: 142
Зарегистрирован: 11 окт 2009, 08:31
Контактная информация:

Re: УЗИ, мочевой пузырь

Сообщение besliu »

:oops: приняла переднюю камеру моч.пузыря за отечную простату-по-зор!!! :oops:
андрей копанько
Сообщения: 8
Зарегистрирован: 15 янв 2010, 16:52
Контактная информация:

Re: УЗИ, мочевой пузырь

Сообщение андрей копанько »

если не поздно с ответами то мое мнение, что это гыпертрофия слизистой мочевого пузыря с разширеными мочеточниками и одним дивертикулом как правило такие изменения на фоне большой аденомы и у меня был случай таких же изменений на фоне фимоза у взрослого музчины правда на фоне еще и умственной отсталости
Ответить

Вернуться в «Уронефрологические исследования»

Кто сейчас на конференции

Сейчас этот форум просматривают: нет зарегистрированных пользователей и 1 гость