Газ в портальной системе?
- valeriy.andilevko
- Сообщения: 194
- Зарегистрирован: 01 мар 2011, 19:34
- Откуда: Витебск
- Контактная информация:
Газ в портальной системе?
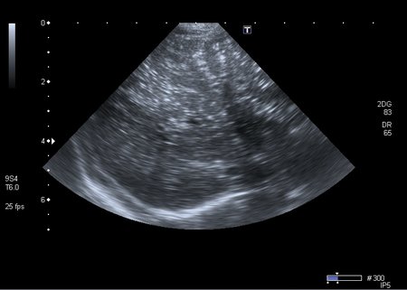
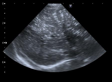
Хочу продолжить дискуссию, повод для этого - сегодняшний пациент 1 года 4 месяцев с клиникой кишечной инфекции и подозрением на инвагинацию. Инвагината не нашёл, но зато при УЗИ выявлены следующие изменения в печени
Кроме того был выражен феномен спонтанного контрастирования кровотока в портальной системе (пузырьки газа?). На рентгенограмме - единичные горизонтальные уровни в тонкой кишке, интерстициального пневматоза стенки газа в проекции портальной системы нет.
Хотелось бы узнать мнение общества о природе данного феномена.
Кроме того был выражен феномен спонтанного контрастирования кровотока в портальной системе (пузырьки газа?). На рентгенограмме - единичные горизонтальные уровни в тонкой кишке, интерстициального пневматоза стенки газа в проекции портальной системы нет.
Хотелось бы узнать мнение общества о природе данного феномена.
- KsV
- Администратор
- Сообщения: 2189
- Зарегистрирован: 22 фев 2009, 13:38
- Откуда: Беларусь-Lietuva
- Контактная информация:
Re: Внутрипротоковые гамартомы
Крайне желателен в таких случаях видеоролик.
У взрослых газ в портальной системе чаще всего появляется вследствие некроза кишки (72%), язвенного колита (8%), абсцесса БП (6%),обструкции тонкой кишки (3%), язвы желудка (3%).
Плохой прогностический признак.
Hepatic--portal venous gas in adults: etiology, pathophysiology and clinical significance.
P R Liebman, M T Patten, J Manny, J R Benfield, and H B Hechtman
This article has been cited by other articles in PMC.
Abstract
The roentgenographic finding hepatic--portal venous gas (HPVG) has been reported extensively in the pediatric and radiology literature. The surgical implications and clinical significance have yet to be fully defined. This study reviews the 60 reported cases in the literature and adds four new cases. HPVG appears as a branching radiolucency extending to within 2 cm of the liver capsule. HPVG is associated with necrotic bowel (72%), ulcerative colitis (8%), intra abdominal abscess (6%), small bowel obstruction (3%), and gastric ulcer (3%). Mucosal damage, bowel distention and sepsis predispose to HPVG. The current mortality rate of 75% represents an improvement from previous experience. Analysis of survivors indicates that the finding of HPVG requires urgent surgical exploration except when it is observed in patients with stable ulcerative colitis.
У взрослых газ в портальной системе чаще всего появляется вследствие некроза кишки (72%), язвенного колита (8%), абсцесса БП (6%),обструкции тонкой кишки (3%), язвы желудка (3%).
Плохой прогностический признак.
Hepatic--portal venous gas in adults: etiology, pathophysiology and clinical significance.
P R Liebman, M T Patten, J Manny, J R Benfield, and H B Hechtman
This article has been cited by other articles in PMC.
Abstract
The roentgenographic finding hepatic--portal venous gas (HPVG) has been reported extensively in the pediatric and radiology literature. The surgical implications and clinical significance have yet to be fully defined. This study reviews the 60 reported cases in the literature and adds four new cases. HPVG appears as a branching radiolucency extending to within 2 cm of the liver capsule. HPVG is associated with necrotic bowel (72%), ulcerative colitis (8%), intra abdominal abscess (6%), small bowel obstruction (3%), and gastric ulcer (3%). Mucosal damage, bowel distention and sepsis predispose to HPVG. The current mortality rate of 75% represents an improvement from previous experience. Analysis of survivors indicates that the finding of HPVG requires urgent surgical exploration except when it is observed in patients with stable ulcerative colitis.
- valeriy.andilevko
- Сообщения: 194
- Зарегистрирован: 01 мар 2011, 19:34
- Откуда: Витебск
- Контактная информация:
Re: Газ в портальной системе?
Лично наблюдал газ в портальной системе у новорожденных детей с некротическим энтероколитом, они действительно лечились в отелении реанимации и находились в крайне тяжёлом состоянии. Данный ребёнок не производил впечатление умирающего и чувствовал себя отностиельно неплохо. В общем анализе крови - небольшой сдвиг влево и всё. Петли тонкой кишки при УЗИ незначительно расширены, с внутрипросветным депонированием жидкого содержимого, перистальтика усилена, газы отходят. Свободная жидкость в брюшной полости на момент исследования в брюшной полости в небольшом количестве
У ребёнка в анамнезе запоры.В последние дни ребёнка интенсивно клизмили. Был зловонный пенистый стул, метеоризм. Но впечатления о том, что у него разваливается стенка кишки или кишка настолько раздулась, что возник интестициальный пневматоз нет. Есть ли другие варианты эхогенных включений в портальной системе?
К сожалению , пока не могу писать ролики (какой-то глюк в аппарате)
К сожалению , пока не могу писать ролики (какой-то глюк в аппарате)
- valeriy.andilevko
- Сообщения: 194
- Зарегистрирован: 01 мар 2011, 19:34
- Откуда: Витебск
- Контактная информация:
Re: Газ в портальной системе?
В течение этих выходных ребёнка перевели в инфекционную больницу с диагнозом "ротавирусная инфекция". На сколько знаю, контрольное ультразвуковое исследование там пока не проводилось.
- valeriy.andilevko
- Сообщения: 194
- Зарегистрирован: 01 мар 2011, 19:34
- Откуда: Витебск
- Контактная информация:
Re: Газ в портальной системе?
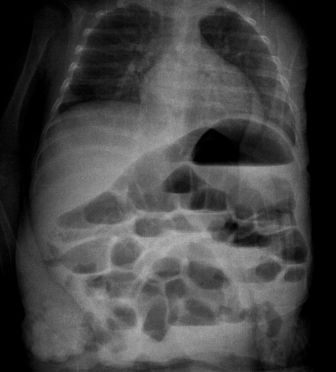
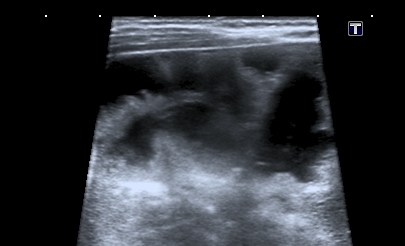
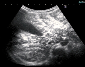
В продолжение темы - сходный случай. Ребёнок 5 мес, поступил с признаками энтеральной недостаточности и вздутым животом.
На рентгенограмме - множественные горизонтальные уровни в просвете кишки, контрастирования газа в проекции печени нет(к слову - иллюстрация того, что горизонтальные уровни в кишечнике не обязательно признак кишечной непроходимости, стул у ребёнка кашицеобразный за последние 12 часов - 4 раза)
На УЗИ - множественные гиперэхогенные включения в печени. Через 2 дня живот опал, на УЗИ - нормальная печень. Признаков некроза кишечника не было.
Рискну высказать предположение о возможности проникновения газа в портальную систему через неповреждённую, но восппалённую стенку кишки на фоне избыточного давления в её просвете .
На рентгенограмме - множественные горизонтальные уровни в просвете кишки, контрастирования газа в проекции печени нет(к слову - иллюстрация того, что горизонтальные уровни в кишечнике не обязательно признак кишечной непроходимости, стул у ребёнка кашицеобразный за последние 12 часов - 4 раза)
На УЗИ - множественные гиперэхогенные включения в печени. Через 2 дня живот опал, на УЗИ - нормальная печень. Признаков некроза кишечника не было.
Рискну высказать предположение о возможности проникновения газа в портальную систему через неповреждённую, но восппалённую стенку кишки на фоне избыточного давления в её просвете .
- KsV
- Администратор
- Сообщения: 2189
- Зарегистрирован: 22 фев 2009, 13:38
- Откуда: Беларусь-Lietuva
- Контактная информация:
Re: Газ в портальной системе?
Интересно.
В нашей практике ни разу не видел подобного, хотя знаю про возможность обнаружения газа в портальной системе при некрозах кишечника.
PS Желательно постить сонограммы бОльших размеров, не менее 20 см по длине.
В нашей практике ни разу не видел подобного, хотя знаю про возможность обнаружения газа в портальной системе при некрозах кишечника.
PS Желательно постить сонограммы бОльших размеров, не менее 20 см по длине.
- valeriy.andilevko
- Сообщения: 194
- Зарегистрирован: 01 мар 2011, 19:34
- Откуда: Витебск
- Контактная информация:
Re: Газ в портальной системе?
Учту замечание, хотя у маленьких детей при передне - заднем размере печени около 6 см это бывает проблематично 
- KsV
- Администратор
- Сообщения: 2189
- Зарегистрирован: 22 фев 2009, 13:38
- Откуда: Беларусь-Lietuva
- Контактная информация:
Re: Газ в портальной системе?
В.М., я про сами сонограммы, их невозможно увеличить по клику.valeriy.andilevko писал(а):Учту замечание, хотя у маленьких детей при передне - заднем размере печени около 6 см это бывает проблематично
- valeriy.andilevko
- Сообщения: 194
- Зарегистрирован: 01 мар 2011, 19:34
- Откуда: Витебск
- Контактная информация:
Re: Газ в портальной системе?
Определил прблему, данное свойство сонограммы приобретают после сжатия в Microsoft Picture Manager по умолчанию для веб страниц
Так лучше? 
Кто сейчас на конференции
Сейчас этот форум просматривают: нет зарегистрированных пользователей и 0 гостей