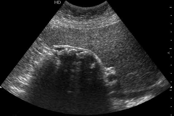
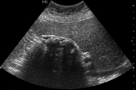
ЖКБ, холецистолитиаз. Вероятно, отключенный желчный пузырь.
Осмотр натощак.
Tags: sonography, gallbladder, cholecystolithiasis
УЗИ: ЖКБ, холецистолитиаз. Отключенный ЖП?
Кто сейчас на конференции
Сейчас этот форум просматривают: нет зарегистрированных пользователей и 1 гость