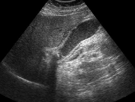
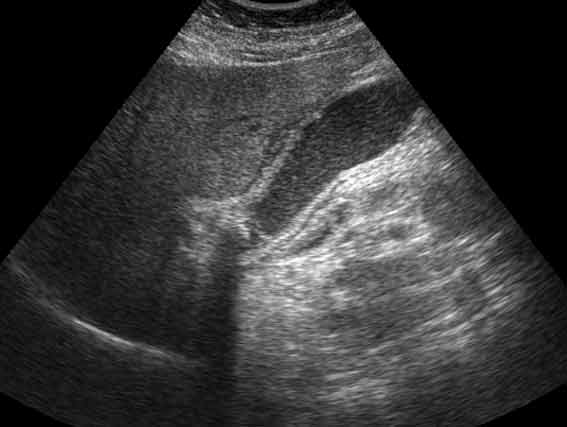
УЗИ: ЖКБ, острый обструктивный холецистит

Печень, желчный пузырь, поджелудочная железа, селезенка. Кишечник.
Только верифицированые изображения
Закрыто
Аватара пользователя
KsV
Администратор
Сообщения: 2189
Зарегистрирован: 22 фев 2009, 13:38
Откуда: Беларусь-Lietuva
Контактная информация:

УЗИ: ЖКБ, острый обструктивный холецистит

Сообщение KsV »

ЖКБ, острый обструктивный холецистит. В шейке желчного пузыря - вклиненный конкремент. Стенки равномерно утолщены и слоисты.
6.jpg
Tags: acute obstructive cholecystitis, gallbladder stones
Закрыто

Вернуться в «Абдоминальные исследования»

Кто сейчас на конференции

Сейчас этот форум просматривают: нет зарегистрированных пользователей и 1 гость