Острый эмфизематозный холецистит

Печень, желчный пузырь, поджелудочная железа, селезенка. Кишечник.
Только верифицированые изображения
Закрыто
Аватара пользователя
KsV
Администратор
Сообщения: 2191
Зарегистрирован: 22 фев 2009, 13:38
Откуда: Беларусь-Lietuva
Контактная информация:

Острый эмфизематозный холецистит

Сообщение KsV »

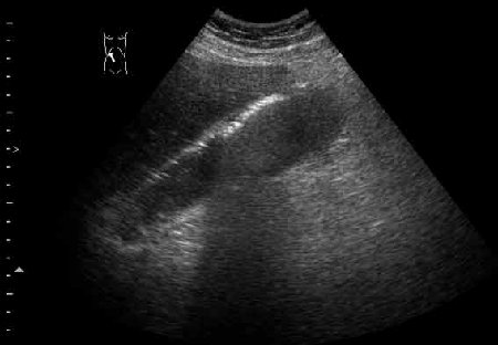
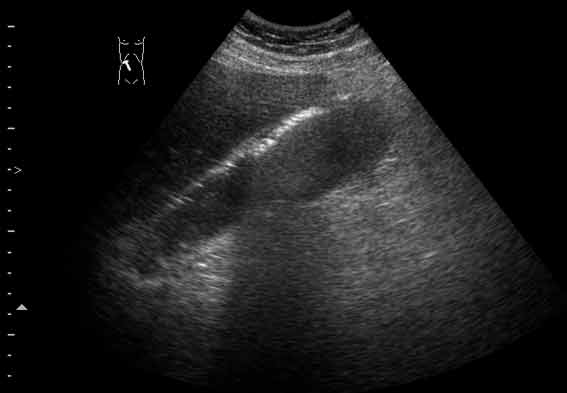
Острый эмфизематозный холецистит. В желчном пузыре определяется газ, он располагается при малейшем изменении положения тела в самой верхней точке желчного пузыря. Газ в пузыре (СО2) является продуктом жизнедеятельности бактерий и при отсутствии ятрогенных вмешательств чаще всего указывает на эмфизематозное воспаление.
7.jpg

Tags: Acute emphysematous cholecystitis
Закрыто

Вернуться в «Абдоминальные исследования»

Кто сейчас на конференции

Сейчас этот форум просматривают: нет зарегистрированных пользователей и 1 гость