Изменения забрюшинного пр-ва при о.панкреатите (УЗИ)

То, что не вошло в предыдущие разделы.
Только верифицированые изображения
Аватара пользователя
KsV
Администратор
Сообщения: 2189
Зарегистрирован: 22 фев 2009, 13:38
Откуда: Беларусь-Lietuva
Контактная информация:

Изменения забрюшинного пр-ва при о.панкреатите (УЗИ)

Сообщение KsV »

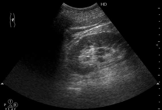
Мужчина средних лет с болями в животе.
Сонограмма выполнена из левого поясничного доступа.
О каком заболевании нужно подумать в первую очередь по такой картинке?
1.jpg
людмила
Сообщения: 9
Зарегистрирован: 04 май 2009, 13:56
Контактная информация:

Re: Изменения на УЗИ

Сообщение людмила »

На фоне незначительно дилатированной верхней чашки мелкое гиперэхогенное включение без четкой уз тени.Смею предположить МКБ, не могу рассмотреть гипоэхогенные включения в центре почечного синуса м.б. это паренхима?
А.М.Шифрин
Сообщения: 60
Зарегистрирован: 12 апр 2009, 18:41
Контактная информация:

Re: Изменения на УЗИ

Сообщение А.М.Шифрин »

Согласен с коллегой. Это может быть МКБ, в том числе, и с камнем в мочеточнике (с мочевой дорожкой) - отсюда боли.
Маловато информации. Локализация болей. Что кроме болей: рвота, дизурия и тд. Что в моче?
Просветите, пожалуйста, нас.
Аватара пользователя
KsV
Администратор
Сообщения: 2189
Зарегистрирован: 22 фев 2009, 13:38
Откуда: Беларусь-Lietuva
Контактная информация:

Re: Изменения на УЗИ

Сообщение KsV »

Дополнительно небольшой видеоклип
Вложения
09-05-15-122507_3800_20090515_141640_0003.mp4
(963.82 КБ) 320 скачиваний
людмила
Сообщения: 9
Зарегистрирован: 04 май 2009, 13:56
Контактная информация:

Re: Изменения на УЗИ

Сообщение людмила »

если я правильно рассмотрела, то в центре почечного синуса дилатированная средняя группа чашек и в конце клипа незначительно расширенная лоханка.думаю мкб.
А.М.Шифрин
Сообщения: 60
Зарегистрирован: 12 апр 2009, 18:41
Контактная информация:

Re: Изменения на УЗИ

Сообщение А.М.Шифрин »

Мне кажется, видеоролик не прояснил ситуацию.
Немного пофантазировав, здесь можно увидеть и небольшую кисту почечного синуса, и папиллярные разрастания и даже мягкий конкремент.
Аватара пользователя
KsV
Администратор
Сообщения: 2189
Зарегистрирован: 22 фев 2009, 13:38
Откуда: Беларусь-Lietuva
Контактная информация:

Re: Изменения на УЗИ

Сообщение KsV »

Друзья, вы увлеклись изучением почки. Реально в почке ничего существенного нет. Еще раз просмотрите видео.
Аватара пользователя
KsV
Администратор
Сообщения: 2189
Зарегистрирован: 22 фев 2009, 13:38
Откуда: Беларусь-Lietuva
Контактная информация:

Re: Изменения на УЗИ

Сообщение KsV »

Наводящий вопрос: что это (стрелка)?
1marked.jpg
1marked.jpg (19.21 КБ) 5117 просмотров
Pasenov
Сообщения: 5
Зарегистрирован: 07 май 2009, 14:06
Контактная информация:

Re: Изменения на УЗИ

Сообщение Pasenov »

Что угодно ! жидкость ...
Ответить

Вернуться в «Разное»

Кто сейчас на конференции

Сейчас этот форум просматривают: нет зарегистрированных пользователей и 1 гость