Вниманию общества хочу представить случай годичной давности, который остался для меня неясным. Может быть кто - нибудь встречался с подобной картиной и избавит меня от сомнений?
Итак, на УЗИ пришел мальчик 14 лет, которому 3 дня назад провели диагностическую лапароскопию в связи с болями в животе и подозрением на острый аппендицит. Аппендицита не нашли, боли в животе прошли, анализы спокойны.
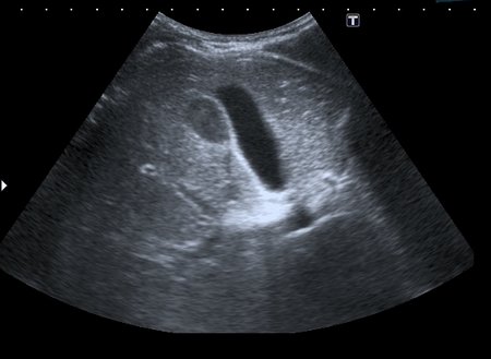
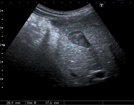
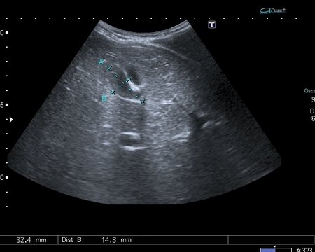
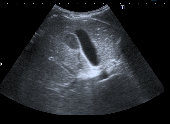
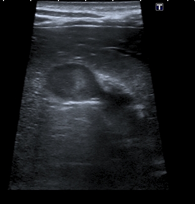
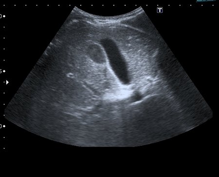
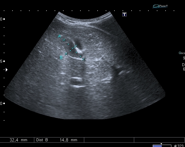
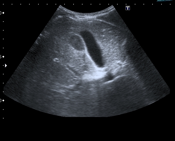
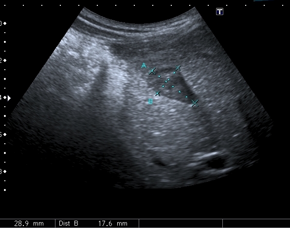
На УЗИ рядом с желчным пузырём определяется овоидное образование солидной струкутры с чёткими контурами.
При ЦДК кровоток в образовании не регистрировался, свободной жидкости в брюшной полости не было.
Порекомендовал КТ, но в связи с наступающими новогодними праздниками и каникулами мальчик уехал домой и появился повторно через 2 месяца без жалоб для контрольного исследования. На УЗИ - картина осталась без динамики
Предположил наличие удвоения желчного пузыря, с этим заключением пациент исчез из поля зрения.
Похож ли данный случай на удвоение? Должна ли содержаться желчь в добавочном пузыре? Буду благодарен за отклики.
Удвоение желчного пузыря?
- valeriy.andilevko
- Сообщения: 194
- Зарегистрирован: 01 мар 2011, 19:34
- Откуда: Витебск
- Контактная информация:
Re: Удвоение желчного пузыря?
Похоже на перегиб по типу "колпака", только он внизу а не сверху
Алекс-Юстасу.
- valeriy.andilevko
- Сообщения: 194
- Зарегистрирован: 01 мар 2011, 19:34
- Откуда: Витебск
- Контактная информация:
Re: Удвоение желчного пузыря?
Была такая мысль, но очень уж разнится по структуре это образование от самого желчного пузыря. В динамичном изображении не было перехода полости желчного пузыря в образование. И чёткой стенки не было на всём протяжении...Dr Alex писал(а):Похоже на перегиб по типу "колпака", только он внизу а не сверху
Re: Удвоение желчного пузыря?
А что с протоками? Я так предполагаю, что должно быть тоже некое удвоение (р.s я не утверждаю, я предполагаю, я с удвоением ЖП не сталкивалась) 
- valeriy.andilevko
- Сообщения: 194
- Зарегистрирован: 01 мар 2011, 19:34
- Откуда: Витебск
- Контактная информация:
Re: Удвоение желчного пузыря?
Полазил в сети на предмет удвоения желчного пузыря. Ультразвуковая картина значительно зависит от уровня, степени удвоения и оттока желчи из удвоенной части желчевыводящей системы. Вероятно в моём случае могло быть фундальное удвоение или V - образный желчный пузырь с нарушением оттока из латеральной половины с общим пузырным протоком. Сосудистый рисунок в печени и её воротах изменён не был. В любом случае хирурги лечить его не собирались - клиники не было. Хотя описаны случаи камнеобразования и опухолей ( почему - то невином) в удвоенном ЖП.Инга писал(а):А что с протоками? Я так предполагаю, что должно быть тоже некое удвоение (р.s я не утверждаю, я предполагаю, я с удвоением ЖП не сталкивалась)
Кто сейчас на конференции
Сейчас этот форум просматривают: нет зарегистрированных пользователей и 1 гость