На УЗИ: Учитывая клинику, лабораторные данные поставил гистиоцитарную инфильтрацию печени и селезёнки при генерализованной инфекции. Несколько раз встречался со схожими случаями, на фоне антибиотикотерапии изменения уходили. Но в данном случае девочка уже получала антибиотики в течение недели, на этом фоне не получено ни клинического , ни лабораторного улучшения, а на УЗИ очаги стали больше. Нужно ли расширять дифференциально -диагностический ряд? Ваши мнения
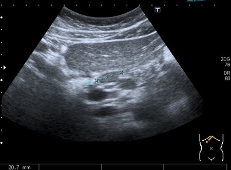
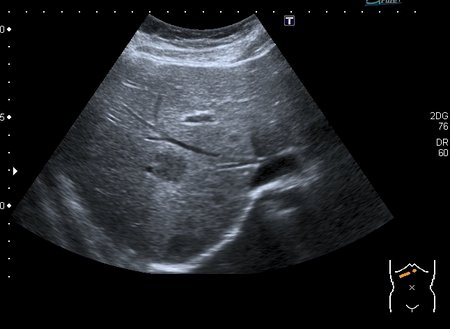
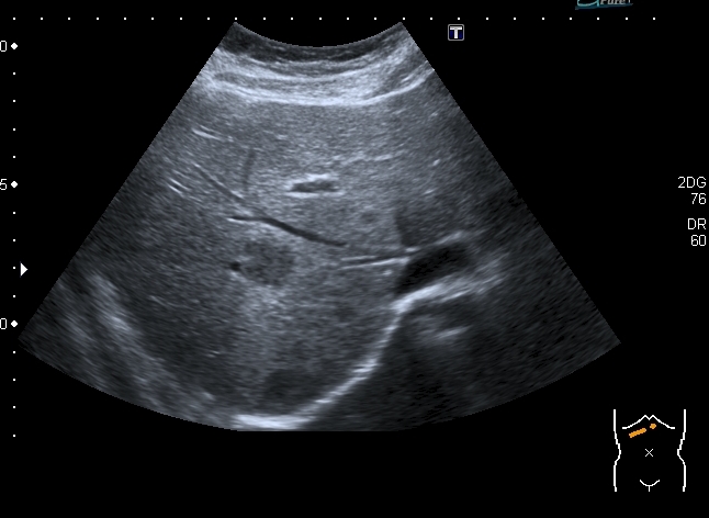
Очаговые образования в печени и селезёнке .
- valeriy.andilevko
- Сообщения: 194
- Зарегистрирован: 01 мар 2011, 19:34
- Откуда: Витебск
- Контактная информация:
Очаговые образования в печени и селезёнке .
Девочка 13 лет, в течение 2-х недель температура до 38, СОЭ - 40 мм\ч, СРБ - 30.
На УЗИ: Учитывая клинику, лабораторные данные поставил гистиоцитарную инфильтрацию печени и селезёнки при генерализованной инфекции. Несколько раз встречался со схожими случаями, на фоне антибиотикотерапии изменения уходили. Но в данном случае девочка уже получала антибиотики в течение недели, на этом фоне не получено ни клинического , ни лабораторного улучшения, а на УЗИ очаги стали больше. Нужно ли расширять дифференциально -диагностический ряд? Ваши мнения
На УЗИ: Учитывая клинику, лабораторные данные поставил гистиоцитарную инфильтрацию печени и селезёнки при генерализованной инфекции. Несколько раз встречался со схожими случаями, на фоне антибиотикотерапии изменения уходили. Но в данном случае девочка уже получала антибиотики в течение недели, на этом фоне не получено ни клинического , ни лабораторного улучшения, а на УЗИ очаги стали больше. Нужно ли расширять дифференциально -диагностический ряд? Ваши мнения
- KsV
- Администратор
- Сообщения: 2191
- Зарегистрирован: 22 фев 2009, 13:38
- Откуда: Беларусь-Lietuva
- Контактная информация:
Re: Очаговые образования в печени и селезёнке .
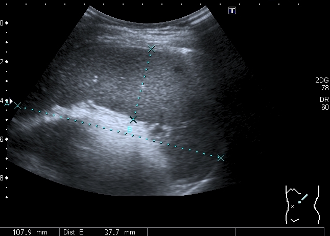
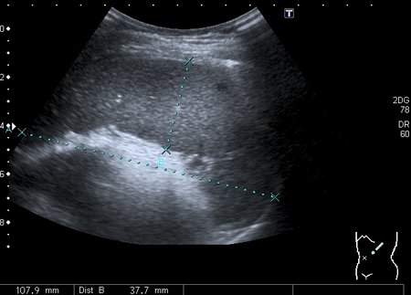
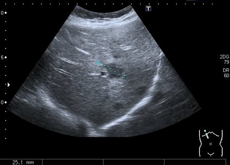
Имхо, по УЗ-семиотике - множественные небольшие абсцессы.
"Кто о чем, а вшивый о бане" - я бы спунктировал поверхностный очаг в левой доле печени (диагностическая пункция).
"Кто о чем, а вшивый о бане" - я бы спунктировал поверхностный очаг в левой доле печени (диагностическая пункция).
- valeriy.andilevko
- Сообщения: 194
- Зарегистрирован: 01 мар 2011, 19:34
- Откуда: Витебск
- Контактная информация:
Re: Очаговые образования в печени и селезёнке .
Из -за того , как назвать данные изменения у нас в больнице постоянно возникают споры между педиатрами и хирургами, а крайние - мы. Если мы в своём заключении упомянём слово "абсцесс" - девочку сразу же переведут в хирургическое отделение: абсцесс= гной, где гной - там разрез. Весь вопрос в том , что гноя в этих очагах нет и хирурги категорически отказываются участвовать в лечении данного заболевания, скорее это инфильтраты, или по лекции С. И. Пиманова - гистиоцитоз печени и селезёнки. Упомянув данное слово , мы ввергаем педиатров в панику, т. к. у них возникает ассоциация с гистиоцитозом X, хотя это несолько из другой оперы.KapustinSV писал(а):Имхо, по УЗ-семиотике - множественные небольшие абсцессы.
"Кто о чем, а вшивый о бане" - я бы спунктировал поверхностный очаг в левой доле печени (диагностическая пункция).
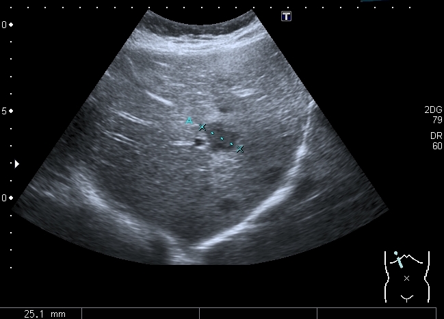
Мне нравится информация по данной патологии из видаровского "Клинического руководства по ультразвуковой диагностике в педатрии". Там данные изменения носят название очаговых поражений инфекционной этиологии (иерсиниоз, псевдотуберкулёз, токсокароз, хламидиоз и др.). Но инфекционисты, проведя ИФА с очень скудным набором диагностикумов и получив отрицательный результат, так же говорят, что это "не их".
Что касается пункции - ИМХО ТАБ в данном случае не даст адекватного диагностического материала для цитологии , кроме того данная процедура инвазивная и у детей проводится под наркозом.
Есть мысль о КТ с контрастированием , думаю в данных очагах накопление контраста должно отличаться от очаговых поражениях при лимфомах.
- KsV
- Администратор
- Сообщения: 2191
- Зарегистрирован: 22 фев 2009, 13:38
- Откуда: Беларусь-Lietuva
- Контактная информация:
Re: Очаговые образования в печени и селезёнке .
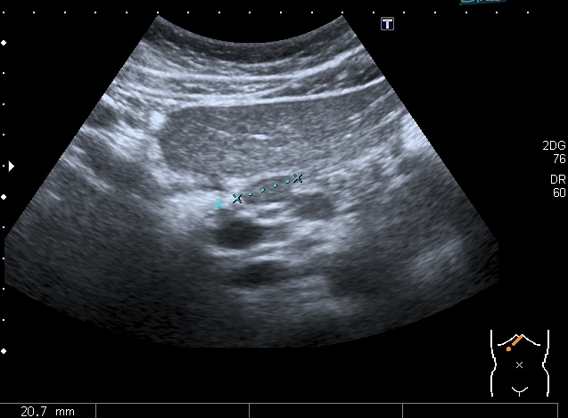
Маленькие абсцессы печени
http://ultrasoundcases.info/Slide-View. ... 41&case=31
Саркоидоз, очаговые изменения селезенки
http://ultrasoundcases.info/Slide-View. ... &case=3751
В наше время тактика ведения абсцессов немного изменилась - крупные абсцессы (более 3 см в диаметре) дренируют, мелкие (менее 3 см) лечат антибиотиками.
http://ultrasoundcases.info/Slide-View. ... 41&case=31
Саркоидоз, очаговые изменения селезенки
http://ultrasoundcases.info/Slide-View. ... &case=3751
В наше время тактика ведения абсцессов немного изменилась - крупные абсцессы (более 3 см в диаметре) дренируют, мелкие (менее 3 см) лечат антибиотиками.
- valeriy.andilevko
- Сообщения: 194
- Зарегистрирован: 01 мар 2011, 19:34
- Откуда: Витебск
- Контактная информация:
Re: Очаговые образования в печени и селезёнке .
Похожий случай здесь http://radiographia.ru/node/3376 Среди высказавшихся так же нет единства по поводу того как назвать выявленные изменения...
- valeriy.andilevko
- Сообщения: 194
- Зарегистрирован: 01 мар 2011, 19:34
- Откуда: Витебск
- Контактная информация:
Re: Очаговые образования в печени и селезёнке .
Девочка уехала на консультацию в республиканский центр онкогематологии
, результат узнать не удалось.
Кто сейчас на конференции
Сейчас этот форум просматривают: нет зарегистрированных пользователей и 1 гость