Интересный случай травмы плечевого сустава!
Интересный случай травмы плечевого сустава!
Мужчина 48 лет, нес сварочный аппарат весом под 30 кг, споткнулся и упал на плече.
После 2 недель хождений по разным врачам, различного противовоспалительного лечения, пришел на УЗИ плечевого сустава.
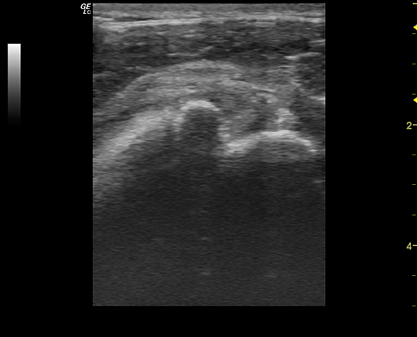
И вот такая уз-картина предстала перед моим взором.
На представленных сонограммах сканирована головка плечевой кости с ротаторной манжетой.
Да, на последней сонограмме В+В: А - сонограмма с патологией, В - таже проекция в здоровом противоположном плечевом суставе.
Ваше мнение коллеги ?
После 2 недель хождений по разным врачам, различного противовоспалительного лечения, пришел на УЗИ плечевого сустава.
И вот такая уз-картина предстала перед моим взором.
На представленных сонограммах сканирована головка плечевой кости с ротаторной манжетой.
Да, на последней сонограмме В+В: А - сонограмма с патологией, В - таже проекция в здоровом противоположном плечевом суставе.
Ваше мнение коллеги ?
http://endosono.ru
*****************************************
Странный этот мир, в котором двое смотрят на одно и тоже, а видят разное.
Агата Кристи.
*****************************************
Странный этот мир, в котором двое смотрят на одно и тоже, а видят разное.
Агата Кристи.
- KsV
- Администратор
- Сообщения: 2189
- Зарегистрирован: 22 фев 2009, 13:38
- Откуда: Беларусь-Lietuva
- Контактная информация:
Re: Интересный случай травмы плечевого сустава!
Я не спец по мускулоскелетал, посмотрите здесь http://ultrasoundcases.info/Case-List.aspx?cat=329 и особенно здесь http://ultrasoundcases.info/Case-List.aspx?cat=329
Что на рентгене, нет ли травматического повреждения головки плечевой кости?
Что на рентгене, нет ли травматического повреждения головки плечевой кости?
Re: Интересный случай травмы плечевого сустава!
Спасибо за ссылки.
А рентген ничего не показал, кости целы.
Вы меня не совсем правильно поняли, я заключение пациенту выставил сходу.
Тем более, что данная патология очень показательна.
А рентген ничего не показал, кости целы.
Вы меня не совсем правильно поняли, я заключение пациенту выставил сходу.
Тем более, что данная патология очень показательна.
http://endosono.ru
*****************************************
Странный этот мир, в котором двое смотрят на одно и тоже, а видят разное.
Агата Кристи.
*****************************************
Странный этот мир, в котором двое смотрят на одно и тоже, а видят разное.
Агата Кристи.
- KsV
- Администратор
- Сообщения: 2189
- Зарегистрирован: 22 фев 2009, 13:38
- Откуда: Беларусь-Lietuva
- Контактная информация:
Re: Интересный случай травмы плечевого сустава!
dok69 писал(а):Если никто не угадает, я обстоятельно, с примерами, верифицирую данный случай на основании одного только УЗИ и подтвержу в том числе и с помощь видео примера зарубежных товарищей.
Случай настолько показательный, что это тоже самое, что верифицировать камень в желчном пузыре.
- KsV
- Администратор
- Сообщения: 2189
- Зарегистрирован: 22 фев 2009, 13:38
- Откуда: Беларусь-Lietuva
- Контактная информация:
Re: Интересный случай травмы плечевого сустава!
Частичный разрыв ротаторной манжеты?
- valeriy.andilevko
- Сообщения: 194
- Зарегистрирован: 01 мар 2011, 19:34
- Откуда: Витебск
- Контактная информация:
Re: Интересный случай травмы плечевого сустава!
Разрыв переднего края сухожилия надостной мышцы с отрывом фрагмента костной поверхности плеча.
Re: Интересный случай травмы плечевого сустава!
Очень интересно!
Где то рядом, но в основном мимо, но есть и попадания.
Где то рядом, но в основном мимо, но есть и попадания.
http://endosono.ru
*****************************************
Странный этот мир, в котором двое смотрят на одно и тоже, а видят разное.
Агата Кристи.
*****************************************
Странный этот мир, в котором двое смотрят на одно и тоже, а видят разное.
Агата Кристи.
Re: Интересный случай травмы плечевого сустава!
Не могу сказать , что вы не правы, но и не могу сказать, что вы угадали, т.к данный случай немножко многогранен и как наша жизнь сложна и не однозначна.KapustinSV писал(а):Частичный разрыв ротаторной манжеты?
Но попробую академически представить данный уз-случай.
Первый пример, как я и обещал от зарубежных товарищей и следом конечно и я!
http://endosono.ru/videoultrasound/204-ppplecha.html
http://endosono.ru
*****************************************
Странный этот мир, в котором двое смотрят на одно и тоже, а видят разное.
Агата Кристи.
*****************************************
Странный этот мир, в котором двое смотрят на одно и тоже, а видят разное.
Агата Кристи.
Re: Интересный случай травмы плечевого сустава!
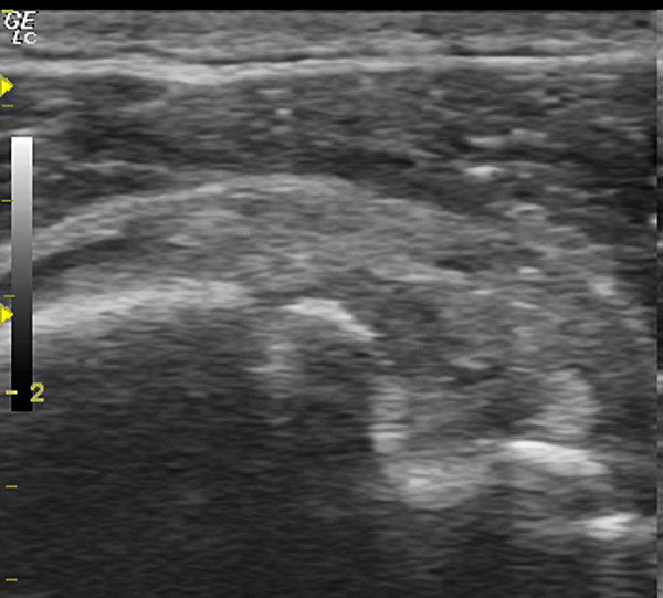
Вот такой получился у меня расклад данного уз-случая.
А:
ГП - головка плечевой кости,МБ - межбугорковая борозда, ДМ- двухглавая мышца,
розовая зона - дислоцированное на уровень малого бугорка сухожилие длинной головки бицепса,
фиолетовая зона - фрагменты поперечной связки плеча, которая образована волокнами из передней поверхности сухожилия подлопаточной мышцы, желтая зона - сухожилие надостной мышцы с участком частичного, линейного разрыва сухожилия.
В:
Сонограмма здорового контролатерального плечевого сустава, представлена для сравнения нормального расположения сухожилия длинной головки бицепса в межбугорковой борозде.
Видеоролик.....
А:
ГП - головка плечевой кости,МБ - межбугорковая борозда, ДМ- двухглавая мышца,
розовая зона - дислоцированное на уровень малого бугорка сухожилие длинной головки бицепса,
фиолетовая зона - фрагменты поперечной связки плеча, которая образована волокнами из передней поверхности сухожилия подлопаточной мышцы, желтая зона - сухожилие надостной мышцы с участком частичного, линейного разрыва сухожилия.
В:
Сонограмма здорового контролатерального плечевого сустава, представлена для сравнения нормального расположения сухожилия длинной головки бицепса в межбугорковой борозде.
Видеоролик.....
Последний раз редактировалось dok69 24 апр 2012, 16:56, всего редактировалось 3 раза.
http://endosono.ru
*****************************************
Странный этот мир, в котором двое смотрят на одно и тоже, а видят разное.
Агата Кристи.
*****************************************
Странный этот мир, в котором двое смотрят на одно и тоже, а видят разное.
Агата Кристи.
- KsV
- Администратор
- Сообщения: 2189
- Зарегистрирован: 22 фев 2009, 13:38
- Откуда: Беларусь-Lietuva
- Контактная информация:
Re: Интересный случай травмы плечевого сустава!
Действительно, очень интересно и поучительно..
А что показано красной стрелкой и окончательное заключение?
А что показано красной стрелкой и окончательное заключение?
Кто сейчас на конференции
Сейчас этот форум просматривают: нет зарегистрированных пользователей и 1 гость