УЗИ желчного пузыря

Печень, желчный пузырь, поджелудочная железа, селезенка. Кишечник.
Только верифицированые изображения
Ответить
Аватара пользователя
KsV
Администратор
Сообщения: 2189
Зарегистрирован: 22 фев 2009, 13:38
Откуда: Беларусь-Lietuva
Контактная информация:

УЗИ желчного пузыря

Сообщение KsV »

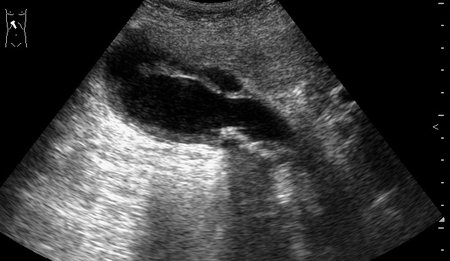
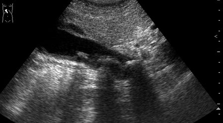
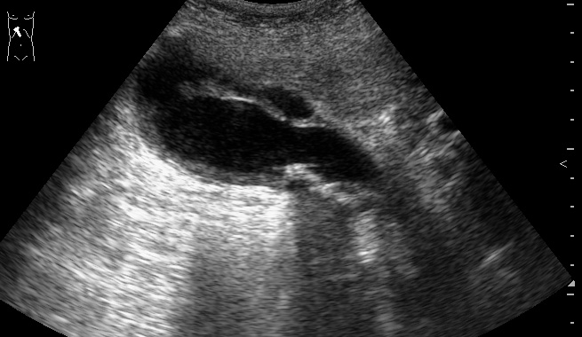
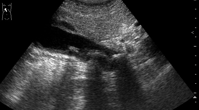
Пожилой мужчина, обратился в приемный покой БСМП с жалобами на периодические тупые боли в эпигастрии и правом подреберье. Год назад были сильные боли в правом подреберье, лечился самостоятельно дома.

УЗИ
12-06-22-121934_1.jpg
12-06-22-121934_2.jpg
Видео
12-06-22-121934_0007_xvid.avi
(1.05 МБ) 117 скачиваний
12-06-22-121934_0022_xvid.avi
(666.69 КБ) 103 скачивания
Заключение?
Аватара пользователя
dok69
Сообщения: 137
Зарегистрирован: 19 дек 2009, 19:32
Откуда: г.Бобруйск
Контактная информация:

Re: УЗИ желчного пузыря

Сообщение dok69 »

Я бы поставил на основании выше показанного и изложенного - Холецистолитиаз, обострение. :)
http://endosono.ru
*****************************************
Странный этот мир, в котором двое смотрят на одно и тоже, а видят разное.
Агата Кристи.
Serg
Сообщения: 252
Зарегистрирован: 15 июн 2011, 20:52
Контактная информация:

Re: УЗИ желчного пузыря

Сообщение Serg »

прикольно...обострение холецистолитиаза...равносильно обострению нефролитиаза :D
Аватара пользователя
dok69
Сообщения: 137
Зарегистрирован: 19 дек 2009, 19:32
Откуда: г.Бобруйск
Контактная информация:

Re: УЗИ желчного пузыря

Сообщение dok69 »

Serg писал(а):прикольно...обострение холецистолитиаза...равносильно обострению нефролитиаза
Ну, самому прикольно :lol:
А ваше мнение коллега?
Мне что-то передняя стенка не нравится. Там случаем не деструкция?
http://endosono.ru
*****************************************
Странный этот мир, в котором двое смотрят на одно и тоже, а видят разное.
Агата Кристи.
Serg
Сообщения: 252
Зарегистрирован: 15 июн 2011, 20:52
Контактная информация:

Re: УЗИ желчного пузыря

Сообщение Serg »

слизистая в просвете желчного пузыря, что говорит о некрозе его стенки ... острый калькулезный холецистит, с перфорацией.. :ugeek:

при поперечном сканировании на втором ролике, скопление свободной жидкости в паренхиме печени :twisted:
Аватара пользователя
dok69
Сообщения: 137
Зарегистрирован: 19 дек 2009, 19:32
Откуда: г.Бобруйск
Контактная информация:

Re: УЗИ желчного пузыря

Сообщение dok69 »

А что скажет автор?
Острый гангренозный калькулезный холецистит? Или ....?
http://endosono.ru
*****************************************
Странный этот мир, в котором двое смотрят на одно и тоже, а видят разное.
Агата Кристи.
Аватара пользователя
KsV
Администратор
Сообщения: 2189
Зарегистрирован: 22 фев 2009, 13:38
Откуда: Беларусь-Lietuva
Контактная информация:

Re: УЗИ желчного пузыря

Сообщение KsV »

Острый калькулезный гангренозный холецистит.
Особенность этого случая в том, что создается впечатление о перфорации стенки пузыря в области дна и наличии скопления желчи в области ложа пузыря.

В действительности перфорации стенки пузыря не было.

Вот как бывает...(с)
Serg
Сообщения: 252
Зарегистрирован: 15 июн 2011, 20:52
Контактная информация:

Re: УЗИ желчного пузыря

Сообщение Serg »

перфорацию в заключении надобно выносить по вопросом? или не выносить?
Аватара пользователя
KsV
Администратор
Сообщения: 2189
Зарегистрирован: 22 фев 2009, 13:38
Откуда: Беларусь-Lietuva
Контактная информация:

Re: УЗИ желчного пузыря

Сообщение KsV »

Serg писал(а):перфорацию в заключении надобно выносить по вопросом? или не выносить?
Все зависит от того насколько Вы как доктор уверены в своем заключении.
Я был уверен и ошибся, хотя пузырь на операции был гангренозно изменен.
Мне не удалось увидеть послеоперационный препарат и мне до сих пор не понятно что в ложе пузыря, возможно это был "колпак".
Аватара пользователя
Инга
Сообщения: 216
Зарегистрирован: 23 ноя 2009, 17:22
Контактная информация:

Re: УЗИ желчного пузыря

Сообщение Инга »

Serg писал(а):перфорацию в заключении надобно выносить по вопросом? или не выносить?
У меня ,если есть подозрение на перфорацию, пишу "Нельзя исключить...." или "УЗ-признаки могут соответствовать....." :)
Ответить

Вернуться в «Абдоминальные исследования»

Кто сейчас на конференции

Сейчас этот форум просматривают: нет зарегистрированных пользователей и 1 гость