УЗИ, образование в печени

Печень, желчный пузырь, поджелудочная железа, селезенка. Кишечник.
Изображения для консультации
Аватара пользователя
KsV
Администратор
Сообщения: 2191
Зарегистрирован: 22 фев 2009, 13:38
Откуда: Беларусь-Lietuva
Контактная информация:

УЗИ, образование в печени

Сообщение KsV »

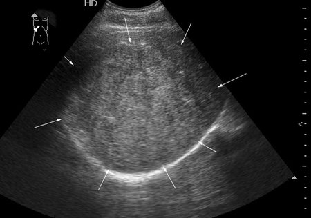
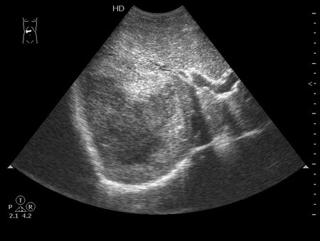
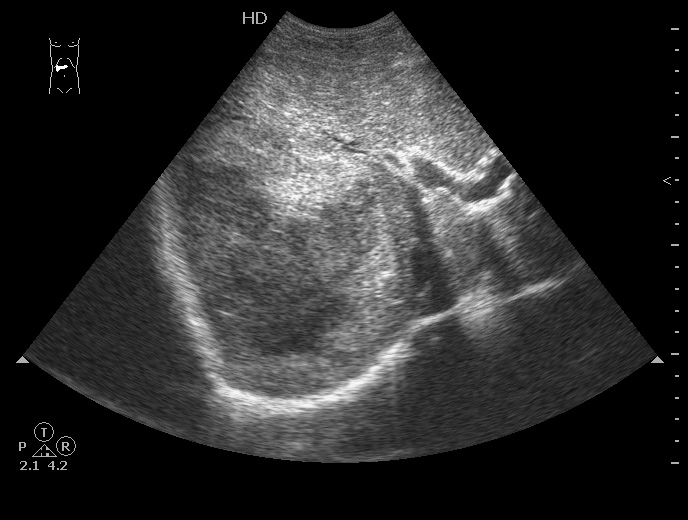
Молодой человек, наркоман, поступил в хирургическое отделение с подозрением на абсцесс печени.

Жалобы на высокую температуру, слабость.


Сонограмма печени:
12-07-18-111420_5769_201207.jpg
Видео:
12-07-18-111420_5769_20120718_2_xvid.avi
(936.9 КБ) 64 скачивания
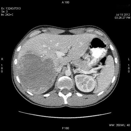
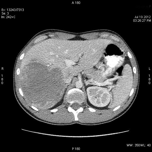
Год назад при УЗИ в печени находили образование больших размеров.


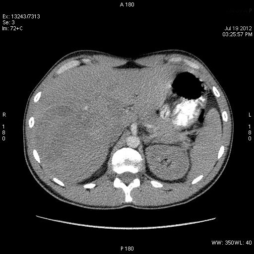
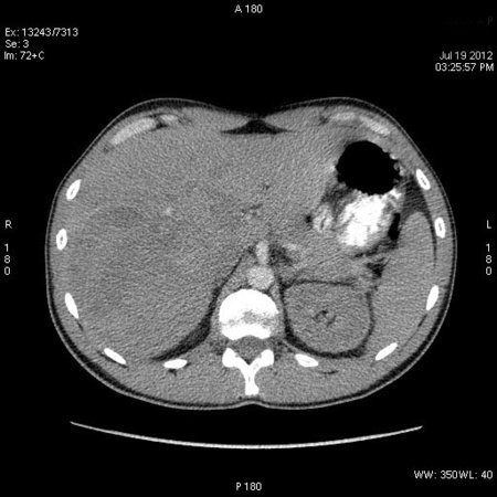
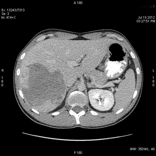
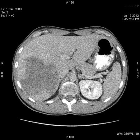
КТ через день
se000.jpg
se001.jpg
se002.jpg
Что-то не укладывается именно ультразвуковая картирка в абсцесс печени.

После КТ хирурги заказали дренирование "абсцесса".

Выполнена диагностическая пункция из 4х участков, получена только кровь.

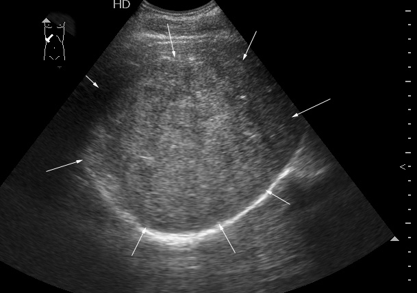
На следующий день сонографическая картина немного изменилась:
12-07-26-105134_6046_201207.jpg
Какие мысли?
Serg
Сообщения: 252
Зарегистрирован: 15 июн 2011, 20:52
Контактная информация:

Re: УЗИ, образование в печени

Сообщение Serg »

на узи на абсцесс не похоже, образование солидное ----гепатома?
Аватара пользователя
dok69
Сообщения: 137
Зарегистрирован: 19 дек 2009, 19:32
Откуда: г.Бобруйск
Контактная информация:

Re: УЗИ, образование в печени

Сообщение dok69 »

Гигантская капилярная гемангиома печени.
Ангиографию надо назначить или УЗИ с контрастированием.
http://endosono.ru
*****************************************
Странный этот мир, в котором двое смотрят на одно и тоже, а видят разное.
Агата Кристи.
Аватара пользователя
KsV
Администратор
Сообщения: 2191
Зарегистрирован: 22 фев 2009, 13:38
Откуда: Беларусь-Lietuva
Контактная информация:

Re: УЗИ, образование в печени

Сообщение KsV »

dok69 писал(а):Гигантская капилярная гемангиома печени.
Ангиографию надо назначить или УЗИ с контрастированием.
1. Чем не устраивает КТ (с контрастированием)
2. Чем лучше УЗИ с контрастированием? Какие контрасты использовать? Какое оборудование?
Аватара пользователя
dok69
Сообщения: 137
Зарегистрирован: 19 дек 2009, 19:32
Откуда: г.Бобруйск
Контактная информация:

Re: УЗИ, образование в печени

Сообщение dok69 »

KapustinSV писал(а):
dok69 писал(а): 1. Чем не устраивает КТ (с контрастированием)
2. Чем лучше УЗИ с контрастированием? Какие контрасты использовать? Какое оборудование?
Вопрос на вопрос.
1. А чем не устраивает УЗИ с контрастом?
2. Чем лучше КТ с контрастированием?

Если у вас не используют этот метод, то пожалуйста сделайте КТ с контрастом.
Раздница только в лучевой нагрузке и цене исследования.
А да и в наличии специалиста владеющего этой методикой. :)

А на остальные ваши вопросы отвечу ссылкой - http://www.contrastultrasound-modality.com/index.php

А что думаете на счет гемангиомы?
http://endosono.ru
*****************************************
Странный этот мир, в котором двое смотрят на одно и тоже, а видят разное.
Агата Кристи.
Аватара пользователя
KsV
Администратор
Сообщения: 2191
Зарегистрирован: 22 фев 2009, 13:38
Откуда: Беларусь-Lietuva
Контактная информация:

Re: УЗИ, образование в печени

Сообщение KsV »

dok69 писал(а):Если у вас не используют этот метод, то пожалуйста сделайте КТ с контрастом.
Раздница только в лучевой нагрузке и цене исследования.
А да и в наличии специалиста владеющего этой методикой. :)
Насмешили.

А у вас в Бобруйске используют? или в Минске?

1. Начнем с того, что УЗИ с контрастированием (CEUS) необходимо немного для других целей, оно не всегда отменяет проведение КТ с контрастированием.
2. Для проведения CEUS необходим контраст, оптимально -SonoVue(r). Оптовая стоимость упаковки при условиях массовой закупки для западной клиники, производящей около 30 исследований в день, в 2005 году составляла 110$ и не думаю что сейчас он стал дешевле, да и плюс наша растаможка.

Кстати, у нас, в прочем как и в России, SonoVue(r) не зарегистрирован.

3. В УЗИ аппаратах должно быть программное обеспечение для CEUS.
Их есть у нас.
Их есть у нас.
Picture0011.jpg (53.53 КБ) 1082 просмотра
Serg
Сообщения: 252
Зарегистрирован: 15 июн 2011, 20:52
Контактная информация:

Re: УЗИ, образование в печени

Сообщение Serg »

извините , корифеи, но на первичке нам говорили , что на постсоветском пространстве контрасты для узи не используюстя..ибо нет патента.. :shock:
Аватара пользователя
dok69
Сообщения: 137
Зарегистрирован: 19 дек 2009, 19:32
Откуда: г.Бобруйск
Контактная информация:

Re: УЗИ, образование в печени

Сообщение dok69 »

Хорошее дело сделал, расмешил хорошего человека! :D
Отвечаю.
У нас в Бобруске не делают! :)

Изображение
Начнем с того, что УЗИ с контрастированием (CEUS) необходимо немного для других целей, оно не всегда отменяет проведение КТ с контрастированием.
А для каких целей нужно УЗИ с контрастированием, как не для диагностики образование, в том числе и печени?

- http://www.efsumb-portal.org/ep/article.php?id=57
- http://www.touchbriefings.com/pdf/3136/dietrich.pdf
- https://www.thieme-connect.de/ejournals ... 335198.pdf

На счет контрастного вещества.
Я знал, что рекомендовать, тем более он у вас есть. ;)
В УЗИ аппаратах должно быть программное обеспечение для CEUS.
А какое, позвольте узнать?
Вложения
contrast.jpg
http://endosono.ru
*****************************************
Странный этот мир, в котором двое смотрят на одно и тоже, а видят разное.
Агата Кристи.
Аватара пользователя
KsV
Администратор
Сообщения: 2191
Зарегистрирован: 22 фев 2009, 13:38
Откуда: Беларусь-Lietuva
Контактная информация:

Re: УЗИ, образование в печени

Сообщение KsV »

Да, конечно, CEUS позволяет выявлять очаговые образования печени, невидимые или плохо видимые при обычном исследовании и характеризовать их по скорости накопления/вымывания контраста. Но эра контрастов в ультразвуке только начинается и CEUS еще не является общепринятой технологией, в отличие от КТ с контрастированием.
В данном конкретном случае CEUS не показано, так как очаг выявлен при обычном исследовании и его гемодинамическая характеристика может быть изучена на основании данных КТ.
Аватара пользователя
dok69
Сообщения: 137
Зарегистрирован: 19 дек 2009, 19:32
Откуда: г.Бобруйск
Контактная информация:

Re: УЗИ, образование в печени

Сообщение dok69 »

Я с вами согласен в той части, что эра контрастирования у нас еще не наступила и что это для нас пока дорого, хотя если кому надо, то это и не такие большие деньги.
Но не согласен, что она здесь не показана.
И дело здесь не в том, что образование уже выявлено , а в том, что бы ответить на два вопроса:
1. Это абсцесс или опухоль?
2. Если опухоль, то доброкачественная она или нет?

Ультразвуковаое контрастирование может помочь в этом.
Во всяком случае именно об этом читал лекцию на последней конференции в Минске профессор Блейк из Германии, у которого большой опыт в области ультразвуового контрастирования.

phpBB [video]
http://endosono.ru
*****************************************
Странный этот мир, в котором двое смотрят на одно и тоже, а видят разное.
Агата Кристи.
Ответить

Вернуться в «Абдоминальные исследования»

Кто сейчас на конференции

Сейчас этот форум просматривают: нет зарегистрированных пользователей и 1 гость