узи простаты. Как трактовать?
Модератор: KsV
узи простаты. Как трактовать?
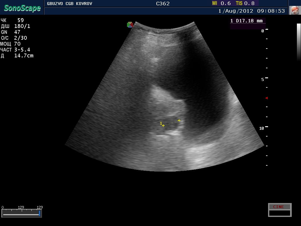
В простате лоцируется гипоэхогенное округлое образование - вопрос - как трактовать?
простатическая часть уретры или очаг?
простатическая часть уретры или очаг?
- KsV
- Администратор
- Сообщения: 2189
- Зарегистрирован: 22 фев 2009, 13:38
- Откуда: Беларусь-Lietuva
- Контактная информация:
Re: узи простаты. Как трактовать?
Я бы не делал никаких заключений по трансабдоминальному исследованию П.
Особенно если нет клинической проблемы.
Особенно если нет клинической проблемы.
Re: узи простаты. Как трактовать?
V-мочевого пузыря 450 мл , стенка 7 мм в ней псведодивертикулы Vост - 380мл, V простаты 36 мл
Жалобы на нарушения мочеиспускания
Вроде как клиническая проблема есть. Сначала была у меня тенденция трактовать это как очаг, но потом рука дрогнула и я решил не заметить сей факт..норма?
Жалобы на нарушения мочеиспускания
Вроде как клиническая проблема есть. Сначала была у меня тенденция трактовать это как очаг, но потом рука дрогнула и я решил не заметить сей факт..норма?
- KsV
- Администратор
- Сообщения: 2189
- Зарегистрирован: 22 фев 2009, 13:38
- Откуда: Беларусь-Lietuva
- Контактная информация:
Re: узи простаты. Как трактовать?
Если предполагается патология у пожилого человека, то необходимо уточнить уровень PSA сыворотки, сделать ТРУЗИ (поискать очаговость и измерить точно объем - для определения предельного уровня PSA), а затем действовать по ситуации.
Ссылка на главу "Предстательная железа"
Ссылка на главу "Предстательная железа"
Re: узи простаты. Как трактовать?
С.В. т.е. я правильно понял, что трасабдоминально мы не должны давать оценку структуры простаты? только измеряем объм мочи? у нас в городе трузи не делают, это очень сложно? может начать, что скажете? 
Re: узи простаты. Как трактовать?
оптимистично 
- KsV
- Администратор
- Сообщения: 2189
- Зарегистрирован: 22 фев 2009, 13:38
- Откуда: Беларусь-Lietuva
- Контактная информация:
Re: узи простаты. Как трактовать?
Ну а что Вы хотели услышать? - "не делайте этого", "обязательно начинайте!"?
Вы уже решили для себя что делать, и поступайте так как решили.
Трансабдоминальное исследование простаты дает общую информацию об ее анатомических особенностях, - - есть гиперплазия (увеличение ПЖ) или нет? - есть ли увеличение т.н."средней доли" или нет. Ну и, пожалуй, можно измерить размеры семенных пузырьков. Все.
По международным рекомендациям при ДГПЖ для урологов необходима информация о состоянии мочевого пузыря и верхних мочевых путей. Объем ПЖ не должен интересовать уролога, так как нет связи между объемом ПЖ и степенью инфравезикальной обструкции. Решение о хирургическом лечении принимается на основании оценки качества жизни пациента. Все дальнейшие УЗИ простаты должны проводиться в специализированном учреждении лучше врачом урологом - для оценки особенностей анатомии простаты, выбора метода операции.
При подозрении на рак простаты необходимо определить уровни ПСА и его фракций, измерить при ТРУЗИ объем простаты для последующего расчета индивидуального уровня общего ПСА. Если при ТРУЗИ в "наружной железе" выявляются очаги, то они подвергаются морфологической оценке. Если очаги не обнаруживаются но повышен уровень ПСА, производится серийная биопсия.
Таким образом, трансабдоминальное исследование при патологии простаты обычно используется для оценки состояния мочевого пузыря и мочевых путей. ТРУЗИ - с целью точного определения объема простаты для расчета предельно допустимого уровня ПСА, выявления очагов, наведения при биопсии - при подозрении на CaP, или для выбора метода операции при ДГПЖ.
Еще ТРУЗИ показано при поиска причин мужского бесплодия - кисты, признаки обструкции.
Это если коротко.
Вы уже решили для себя что делать, и поступайте так как решили.
Трансабдоминальное исследование простаты дает общую информацию об ее анатомических особенностях, - - есть гиперплазия (увеличение ПЖ) или нет? - есть ли увеличение т.н."средней доли" или нет. Ну и, пожалуй, можно измерить размеры семенных пузырьков. Все.
По международным рекомендациям при ДГПЖ для урологов необходима информация о состоянии мочевого пузыря и верхних мочевых путей. Объем ПЖ не должен интересовать уролога, так как нет связи между объемом ПЖ и степенью инфравезикальной обструкции. Решение о хирургическом лечении принимается на основании оценки качества жизни пациента. Все дальнейшие УЗИ простаты должны проводиться в специализированном учреждении лучше врачом урологом - для оценки особенностей анатомии простаты, выбора метода операции.
При подозрении на рак простаты необходимо определить уровни ПСА и его фракций, измерить при ТРУЗИ объем простаты для последующего расчета индивидуального уровня общего ПСА. Если при ТРУЗИ в "наружной железе" выявляются очаги, то они подвергаются морфологической оценке. Если очаги не обнаруживаются но повышен уровень ПСА, производится серийная биопсия.
Таким образом, трансабдоминальное исследование при патологии простаты обычно используется для оценки состояния мочевого пузыря и мочевых путей. ТРУЗИ - с целью точного определения объема простаты для расчета предельно допустимого уровня ПСА, выявления очагов, наведения при биопсии - при подозрении на CaP, или для выбора метода операции при ДГПЖ.
Еще ТРУЗИ показано при поиска причин мужского бесплодия - кисты, признаки обструкции.
Это если коротко.
Re: узи простаты. Как трактовать?
да, спасибо за развернутый ответ! в нашей многопрофильной больнице, практикуют только трансабдоминальное узи простаты, урологи обязательно требуют объем пж и остаточной мочи...Зачем им объем пж? наверное они не в кусре международных рекомендаций... 
- KsV
- Администратор
- Сообщения: 2189
- Зарегистрирован: 22 фев 2009, 13:38
- Откуда: Беларусь-Lietuva
- Контактная информация:
Re: узи простаты. Как трактовать?
Не "стреляйте" в урологов, они "играют" как умеют.
Не у всех длинные музыкальные чувствительные пальцы, "с УЗ-датчиками на конце"
На практике при трансабдоминальном исследовании и особенно ТРУЗИ очень четко можно сказать, что гиперплазия переходной зоны (т.е. вероятная ДГПЖ) есть или ее нет.
Не у всех длинные музыкальные чувствительные пальцы, "с УЗ-датчиками на конце"
На практике при трансабдоминальном исследовании и особенно ТРУЗИ очень четко можно сказать, что гиперплазия переходной зоны (т.е. вероятная ДГПЖ) есть или ее нет.
Кто сейчас на конференции
Сейчас этот форум просматривают: нет зарегистрированных пользователей и 2 гостя