УЗИ селезенки-панкреатическая киста

Печень, желчный пузырь, поджелудочная железа, селезенка. Кишечник.
Только верифицированые изображения
Аватара пользователя
KsV
Администратор
Сообщения: 2191
Зарегистрирован: 22 фев 2009, 13:38
Откуда: Беларусь-Lietuva
Контактная информация:

УЗИ селезенки-панкреатическая киста

Сообщение KsV »

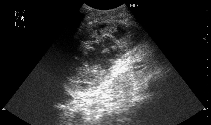
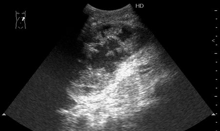
Мужчина 1952 г.р. поступил с болями в животе в БСМП. Длительное время страдал хроническим панкреатитом. Травму отрицает.
УЗИ селезенки, продольное сканирование
УЗИ селезенки, продольное сканирование
видео -
12-08-13-114937_lien.avi
УЗИ селезенки, продольное сканирование, видео
(890.7 КБ) 98 скачиваний
Ваше заключение?

Tags: lienal, pancreatic, cyst, ultrasonography, sonography
Serg
Сообщения: 252
Зарегистрирован: 15 июн 2011, 20:52
Контактная информация:

Re: УЗИ селезенки

Сообщение Serg »

Даже не знаю :? паренхиматозная гематома....ли может быть - разможженная селезенка? :shock:
Аватара пользователя
Инга
Сообщения: 216
Зарегистрирован: 23 ноя 2009, 17:22
Контактная информация:

Re: УЗИ селезенки

Сообщение Инга »

По сонограмме и видео можно предположить и "старую" кисту хвоста поджелудочной железы :)

Но.... был у нас тут недавно случай: мужчина 58л, жалобы на боли в левом подреберье, из анамнеза Рак p.Fateri T2N0M0 IIст, IIIкл.гр., после ПДР.
Из протокола УЗИ: в воротах селезенки виз-ся жидкостное образование разм.... инкапсулированное, неоднородной структуры с вероятными признаками абсцедирования.Закл: По УЗ-признакам нельзя исключить абсцесс в воротах селезенки.
19062012649.jpg
19062012649.jpg (45.63 КБ) 1226 просмотров
19062012656_cr.jpg
19062012656_cr.jpg (44.96 КБ) 1226 просмотров
Операция: Абсцесс селезенки...

Поэтому и в представленном С.В. случае можно предположить абсцесс :?
Аватара пользователя
dok69
Сообщения: 137
Зарегистрирован: 19 дек 2009, 19:32
Откуда: г.Бобруйск
Контактная информация:

Re: УЗИ селезенки

Сообщение dok69 »

Полный абсцесс....
Сонограммы не подлежат интерпретации! :)
http://endosono.ru
*****************************************
Странный этот мир, в котором двое смотрят на одно и тоже, а видят разное.
Агата Кристи.
Аватара пользователя
KsV
Администратор
Сообщения: 2191
Зарегистрирован: 22 фев 2009, 13:38
Откуда: Беларусь-Lietuva
Контактная информация:

Re: УЗИ селезенки

Сообщение KsV »

Инга, а анатомически эта штука разве в воротах селезенки? Где стоит датчик? - если стандартно в левой поясничной области, то образование расположено по наружному контуру селезенки.

Кстати, такие штуки можно и нужно пытаться дренировать - она же под руками!
Аватара пользователя
KsV
Администратор
Сообщения: 2191
Зарегистрирован: 22 фев 2009, 13:38
Откуда: Беларусь-Lietuva
Контактная информация:

Re: УЗИ селезенки

Сообщение KsV »

Инга писал(а):По сонограмме и видео можно предположить и "старую" кисту хвоста поджелудочной железы :)
Дело в том, что на сонограмме - селезенка.
Аватара пользователя
Инга
Сообщения: 216
Зарегистрирован: 23 ноя 2009, 17:22
Контактная информация:

Re: УЗИ селезенки

Сообщение Инга »

KapustinSV писал(а):Инга, а анатомически эта штука разве в воротах селезенки? Где стоит датчик? - если стандартно в левой поясничной области, то образование расположено по наружному контуру селезенки.
К сожалению, маркеры не поставила на фото для хирургов, а в историю компьютера не сохранила, поэтому фотографировала для форума уже из истории болезни. Поверьте на слово- это в воротах селезенки.
Кстати, такие штуки можно и нужно пытаться дренировать - она же под руками!

Надеюсь, что когда-нибудь начну. Желание имеется :)
Аватара пользователя
Инга
Сообщения: 216
Зарегистрирован: 23 ноя 2009, 17:22
Контактная информация:

Re: УЗИ селезенки

Сообщение Инга »

KapustinSV писал(а): Дело в том, что на сонограмме - селезенка.
Я верю.... Поэтому и предполагаю абсцесс селезенки :?:
Аватара пользователя
Инга
Сообщения: 216
Зарегистрирован: 23 ноя 2009, 17:22
Контактная информация:

Re: УЗИ селезенки

Сообщение Инга »

Сергей Васильевич, так что же это? А то вы переключились на панкреатиты :) и здесь не отвечаете...
Аватара пользователя
KsV
Администратор
Сообщения: 2191
Зарегистрирован: 22 фев 2009, 13:38
Откуда: Беларусь-Lietuva
Контактная информация:

Re: УЗИ селезенки

Сообщение KsV »

Мы вначале предпложили внутрикапсульный разрыв селезенки и ее разможжение, несмотря на отсутствие данных за травму (иногда наши пациенты имеют обыкновение её скрывать).
И ошиблись.
На секции - хронический панкреатит, псевдокиста селезенки. После вскрытия капсулы селезенки выделилась серая жидкость без примесей крови.
Механизм образования такой псевдокисты (?) мне лично непонятен, думаю обсудить это дело с университетскими анатомами.
Ответить

Вернуться в «Абдоминальные исследования»

Кто сейчас на конференции

Сейчас этот форум просматривают: нет зарегистрированных пользователей и 1 гость