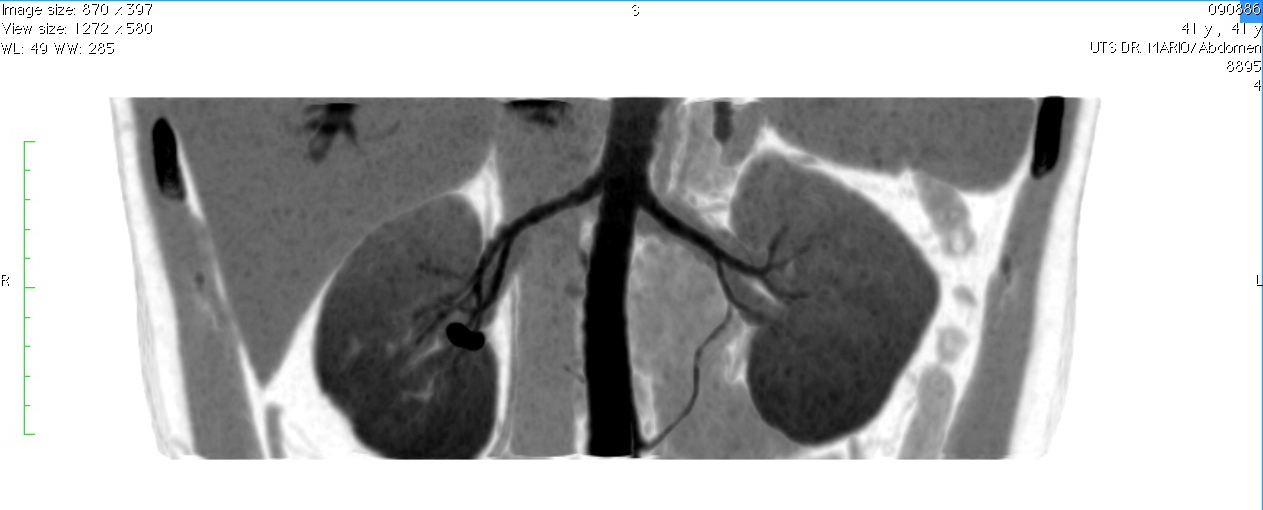
КТ ангио почек. 3D MIP
Модератор: KsV
- KsV
- Администратор
- Сообщения: 2191
- Зарегистрирован: 22 фев 2009, 13:38
- Откуда: Беларусь-Lietuva
- Контактная информация:
Re: КТ ангио почек. 3D MIP
Артериальная мальформация правой почки. Некая аномальная артерия левой почки 
Кто сейчас на конференции
Сейчас этот форум просматривают: нет зарегистрированных пользователей и 1 гость