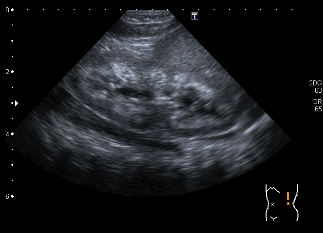
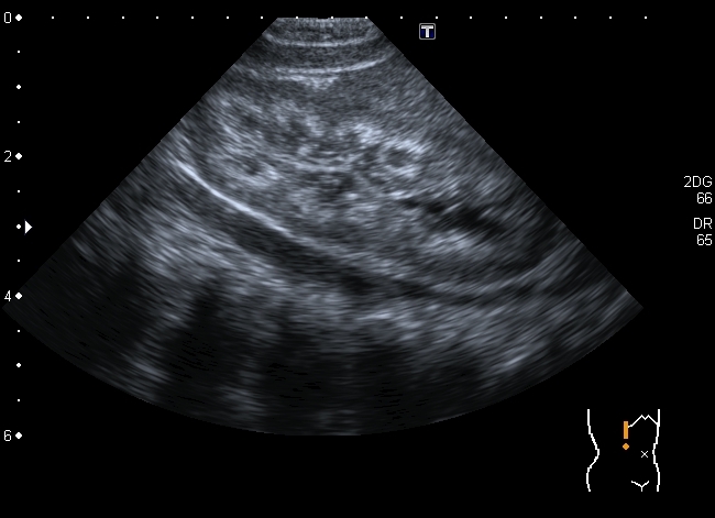
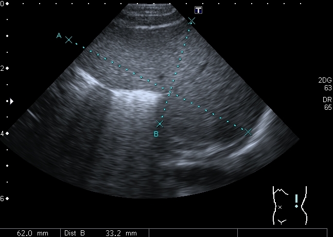
Ребёнок 1-го месяца, оперирован по поводу ВПС, транспозиции магистральных сосудов. В послеопреационном периоде сепсис. Сейчас пришли для обследования перед направлением на МРЭК
Почечные пирамиды
- valeriy.andilevko
- Сообщения: 194
- Зарегистрирован: 01 мар 2011, 19:34
- Откуда: Витебск
- Контактная информация:
Re: Почечные пирамиды
медуллярная губчатая почка - так получается?
- KsV
- Администратор
- Сообщения: 2189
- Зарегистрирован: 22 фев 2009, 13:38
- Откуда: Беларусь-Lietuva
- Контактная информация:
Re: Почечные пирамиды
Почка Андерсона-Карра. По периферии пирамид определяются эхогенные «кольца» из-за накопления там депозитов кальция.
У детей наиболее частой причиной нефрокальциноза является первичный тубулярный ацидоз и первичная гипероксалурия.
Основные причины нефрокальциноза у взрослых:
Медуллярный нефрокальциноз
• гиперкальциемия или гиперкальциурия (при гиперпаратиреоидизме, гипер- и гипотиреозе, почечном тубулярном ацидозе, молочно-щелочном синдроме, синдроме Кушинга, избытке витамина D, саркоидозе, костных метастазах, множественной миеломе)
• туберкулез почки
• медуллярная губчатая почка
• длительная иммобилизация
• оксалоз и гипероксалурия
• длительное лечение фуросемидом, стероидами
• кортикальный некроз вследствие ишемии
У детей наиболее частой причиной нефрокальциноза является первичный тубулярный ацидоз и первичная гипероксалурия.
Основные причины нефрокальциноза у взрослых:
Медуллярный нефрокальциноз
• гиперкальциемия или гиперкальциурия (при гиперпаратиреоидизме, гипер- и гипотиреозе, почечном тубулярном ацидозе, молочно-щелочном синдроме, синдроме Кушинга, избытке витамина D, саркоидозе, костных метастазах, множественной миеломе)
• туберкулез почки
• медуллярная губчатая почка
• длительная иммобилизация
• оксалоз и гипероксалурия
• длительное лечение фуросемидом, стероидами
• кортикальный некроз вследствие ишемии
- valeriy.andilevko
- Сообщения: 194
- Зарегистрирован: 01 мар 2011, 19:34
- Откуда: Витебск
- Контактная информация:
Re: Почечные пирамиды
Сергей Васильевич, спасибо за коментарий. Нашёл статью по данной теме http://radiographics.rsna.org/content/30/5/1287.full
В заключении написал дисметаболическую нефропатию. Про почку Андерсона - Карра не слышал, запомню данный эпоним.
В заключении написал дисметаболическую нефропатию. Про почку Андерсона - Карра не слышал, запомню данный эпоним.
Кто сейчас на конференции
Сейчас этот форум просматривают: нет зарегистрированных пользователей и 1 гость