УЗИ желчного пузыря - ферментативный ОХ при ОП
- KsV
- Администратор
- Сообщения: 2191
- Зарегистрирован: 22 фев 2009, 13:38
- Откуда: Беларусь-Lietuva
- Контактная информация:
УЗИ желчного пузыря - ферментативный ОХ при ОП
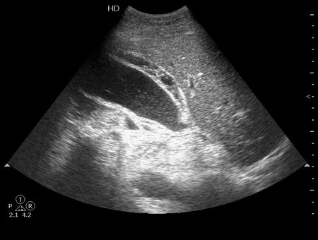
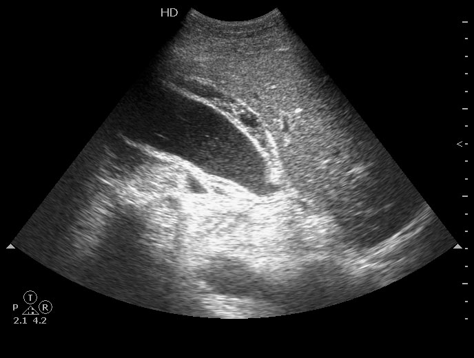
Мужчина средних лет, болен хроническим панкреатитом. Поступил в хирургическое отделение с резкими болями в животе.
Re: УЗИ желчного пузыря
гангренозный деструктивный холецистит
- KsV
- Администратор
- Сообщения: 2191
- Зарегистрирован: 22 фев 2009, 13:38
- Откуда: Беларусь-Lietuva
- Контактная информация:
Re: УЗИ желчного пузыря
Serg писал(а):гангренозный деструктивный холецистит
В принципе все нормально, но нужно добавить еще одно слово.
Это типичная презентация особой формы острого холецистита.
Re: УЗИ желчного пузыря
жидкость по нижнему контуру - перфоративный?
- KsV
- Администратор
- Сообщения: 2191
- Зарегистрирован: 22 фев 2009, 13:38
- Откуда: Беларусь-Lietuva
- Контактная информация:
Re: УЗИ желчного пузыря
Нет, не это слово, хоть пузырь и перфоративный.Serg писал(а):жидкость по нижнему контуру - перфоративный?
Где-то в тестах был такой.
Re: УЗИ желчного пузыря
В этом ЖП есть конкременты?
- KsV
- Администратор
- Сообщения: 2191
- Зарегистрирован: 22 фев 2009, 13:38
- Откуда: Беларусь-Lietuva
- Контактная информация:
Re: УЗИ желчного пузыря
Нет, но могут быть. Это не слово "калькулезный" или "бескаменный".HELEN писал(а):В этом ЖП есть конкременты?
- valeriy.andilevko
- Сообщения: 194
- Зарегистрирован: 01 мар 2011, 19:34
- Откуда: Витебск
- Контактная информация:
Re: УЗИ желчного пузыря
Ишемический холецистит?
- KsV
- Администратор
- Сообщения: 2191
- Зарегистрирован: 22 фев 2009, 13:38
- Откуда: Беларусь-Lietuva
- Контактная информация:
Re: УЗИ желчного пузыря
Нет.valeriy.andilevko писал(а):Ишемический холецистит?
Re: УЗИ желчного пузыря
Эмфизематозный.... 
Кто сейчас на конференции
Сейчас этот форум просматривают: нет зарегистрированных пользователей и 1 гость