УЗИ почек у мальчика 10 лет

Изображения для консультации
Аватара пользователя
valeriy.andilevko
Сообщения: 194
Зарегистрирован: 01 мар 2011, 19:34
Откуда: Витебск
Контактная информация:

УЗИ почек у мальчика 10 лет

Сообщение valeriy.andilevko »

Мальчик 10 лет, госпитализирован впервые в связи с выявленными в ЦРБ изменениями на УЗИ. В анализах мочи - протеинурия, лейкоцитурия. В крови - уремия. В трёхлетнем возрасте - боли в спине, лечил нарушение осанки.
На УЗИ - следующая картина:
Мочевой пузырь:
phpBB [video]

phpBB [video]
I20121224144608671.jpg
I20121224144608750.jpg
Почки:
phpBB [video]

phpBB [video]

phpBB [video]

phpBB [video]

phpBB [video]

phpBB [video]

phpBB [video]

phpBB [video]

phpBB [video]

phpBB [video]

phpBB [video]

phpBB [video]

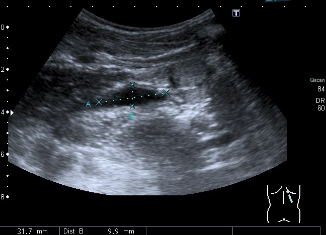
Определяется небольшое расширение лоханок обеих почек, стенки их гиперэхогенные, утолщены.
I20121224144608984.jpg
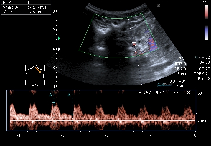
Спектрограммы кровотока в правой и левой почках:
I20121224144609218.jpg
I20121224144609296.jpg
Меня больше всего заинтересовало тканевое образование в нижнем полюсе левой почки - гиперэхогенное, многоузловое. Есть мысли про причину такого состояния почек, но пока хочу выслушать мнения коллег. Буду очень благодарен за отзывы.
Аватара пользователя
KsV
Администратор
Сообщения: 2189
Зарегистрирован: 22 фев 2009, 13:38
Откуда: Беларусь-Lietuva
Контактная информация:

Re: УЗИ почек у мальчика 10 лет

Сообщение KsV »

По клипам я бы предположил запущенную двухстороннюю рефлюкс-нефропатию + тумор левой почки.
МЦУГ+ биопсия образования левой почки.
vetch
Сообщения: 1
Зарегистрирован: 18 дек 2012, 20:50
Контактная информация:

Re: УЗИ почек у мальчика 10 лет

Сообщение vetch »

похоже на поликистоз почек тип I. хорошо бы сделать еще 1 скан - чуть ниже поджелудочной - на всякий случай для улучшения видимости верхних полюсов.
Аватара пользователя
KsV
Администратор
Сообщения: 2189
Зарегистрирован: 22 фев 2009, 13:38
Откуда: Беларусь-Lietuva
Контактная информация:

Re: УЗИ почек у мальчика 10 лет

Сообщение KsV »

vetch писал(а):похоже на поликистоз почек тип I. хорошо бы сделать еще 1 скан - чуть ниже поджелудочной - на всякий случай для улучшения видимости верхних полюсов.
Такая мысль была в первую очередь, но на их аппарате с датчиком 14МГц все кисточки и даже просто расширение канальцев должны быть видны очень четко. Кроме того, должны быть признаки фиброза печени и спленомегалия, об этом в условиях задачи нет ничего.
Аватара пользователя
valeriy.andilevko
Сообщения: 194
Зарегистрирован: 01 мар 2011, 19:34
Откуда: Витебск
Контактная информация:

Re: УЗИ почек у мальчика 10 лет

Сообщение valeriy.andilevko »

Спленомегалии нет. печень без признаков фиброза . Почки уменьшены ( правая - 50 х 20 мм, левая - чуть больше , но за счёт образования нижнего полюса). В левой почке в образовании - есть одиночная небольшая киста ( см клип про почки №3), но на поликистоз непохоже. Ещё одно "но" : с аутосомно - рецессивной поликистозной болезнью почек до 10 лет не живут.
Аватара пользователя
KsV
Администратор
Сообщения: 2189
Зарегистрирован: 22 фев 2009, 13:38
Откуда: Беларусь-Lietuva
Контактная информация:

Re: УЗИ почек у мальчика 10 лет

Сообщение KsV »

valeriy.andilevko писал(а):Спленомегалии нет. печень без признаков фиброза . Почки уменьшены ( правая - 50 х 20 мм, левая - чуть больше , но за счёт образования нижнего полюса). В левой почке в образовании - есть одиночная небольшая киста ( см клип про почки №3), но на поликистоз непохоже. Ещё одно "но" : с аутосомно - рецессивной поликистозной болезнью почек до 10 лет не живут.
Еще раз пересмотрел клипы. У меня есть впечатление, что подрасширены ЧЛС почек - так ли это? - на этом факте основывается предположение о возможной рефлюкс-нефропатии. Если такого впечатления нет,то нужно вернуться к варианту АРПКБ почек. Что касается продолжительности жизни у больных с АРПКБ почек, то все зависит от того сколько процентов клубочков поражено и насколько поражена печень.

Цит.
Подростковая (ювенильная) форма АРПКБ почек. Значительная часть почечной паренхимы не изменена. Клинические проявления связаны с развитием фиброза печени и портальной гипертензии. Заболевание клинически проявляется к 12–14 годам. Летальный исход наступает в возрасте до 20 лет. Кистами замещено около 10 % канальцев.

Ну и тумор слева.

В.М.! Есть ли возможность пересмотреть мальчика целенаправленно, поискать мелкие кисты и "губчатость" паренхимы?
Аватара пользователя
KsV
Администратор
Сообщения: 2189
Зарегистрирован: 22 фев 2009, 13:38
Откуда: Беларусь-Lietuva
Контактная информация:

Re: УЗИ почек у мальчика 10 лет

Сообщение KsV »

Посмотрел сам.

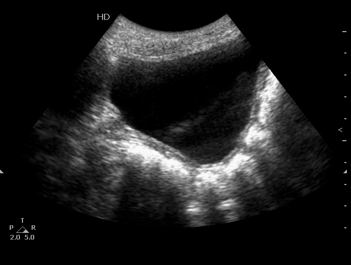
"Маленькие белые почки" с расширением ЧЛС и мочеточников, умеренной латерализацией устьев, без видимых на высокочастотном УЗИ кист. Печень без видимых на высокочастотном УЗИ кист. Опухоль слева.

Остаюсь при своем мнении.

МЦУГ, перевод в Минск (нефректомия слева + трансплантация почки).
Аватара пользователя
valeriy.andilevko
Сообщения: 194
Зарегистрирован: 01 мар 2011, 19:34
Откуда: Витебск
Контактная информация:

Re: УЗИ почек у мальчика 10 лет

Сообщение valeriy.andilevko »

KsV писал(а):Посмотрел сам.

"Маленькие белые почки" с расширением ЧЛС и мочеточников, умеренной латерализацией устьев, без видимых на высокочастотном УЗИ кист. Печень без видимых на высокочастотном УЗИ кист. Опухоль слева.

Остаюсь при своем мнении.

МЦУГ, перевод в Минск (нефректомия слева + трансплантация почки).
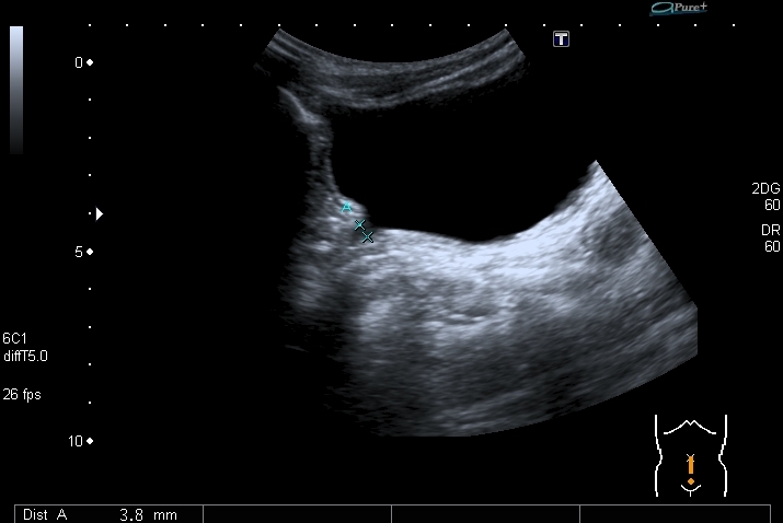
Сергей Васильевич, большое спасибо. Посмотрел ребёнка ещё раз. Согласен с рефлюкс - нефропатией и опухолью. Единственное , что меня смущает - проксимальная уретра, не широковата ли она?. В простате - небольшие парауретральные обызыствления (?) - редкость для ребёнка.
I20121228142409453.jpg
I20121228142409515.jpg
Думаю о клапане задней уретры:http://ultrasoundcases.info/Slide-View. ... &case=4515
Аватара пользователя
KsV
Администратор
Сообщения: 2189
Зарегистрирован: 22 фев 2009, 13:38
Откуда: Беларусь-Lietuva
Контактная информация:

Re: УЗИ почек у мальчика 10 лет

Сообщение KsV »

Измененная уродинамика мегауретера справа

phpBB [video]



Измененная уродинамика мегауретера слева

phpBB [video]


Посмотрел шейку пузыря - уретральной "воронки" не видел.
12-12-28-112124_pediatr_201.jpg
Аватара пользователя
valeriy.andilevko
Сообщения: 194
Зарегистрирован: 01 мар 2011, 19:34
Откуда: Витебск
Контактная информация:

Re: УЗИ почек у мальчика 10 лет

Сообщение valeriy.andilevko »

Стараюсь не терять данный случай из вида, пока добавить особо нечего. Мальчик в Минске на гемодиализе. Вроде была пункционная биопсия - результатов конкретно не знаю. Планируется пересадка почки, поставлен в лист ожидания. Возможно - сначала нефрэктомия слева.
Ответить

Вернуться в «Исследования в педиатрии»

Кто сейчас на конференции

Сейчас этот форум просматривают: нет зарегистрированных пользователей и 1 гость