Фарфоровый желчный пузырь (Porcelain gallbladder)
- KsV
- Администратор
- Сообщения: 2191
- Зарегистрирован: 22 фев 2009, 13:38
- Откуда: Беларусь-Lietuva
- Контактная информация:
Фарфоровый желчный пузырь (Porcelain gallbladder)
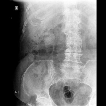
Женщина средних лет без жалоб на здоровье.
- dok333
- Сообщения: 142
- Зарегистрирован: 29 окт 2010, 09:59
- Откуда: Ukraine,Kharkiv
- Контактная информация:
Re: Фарфоровый желчный пузырь (Porcelain gallbladder)
классно представлен. не видел . Спасибо
- KsV
- Администратор
- Сообщения: 2191
- Зарегистрирован: 22 фев 2009, 13:38
- Откуда: Беларусь-Lietuva
- Контактная информация:
Re: Фарфоровый желчный пузырь (Porcelain gallbladder)
Еще случай.
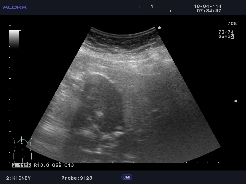
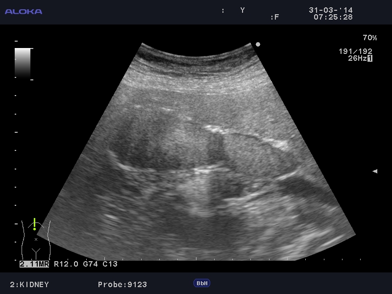
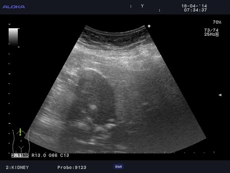
Бабушка из отделения сестринского ухода, без жалоб на боли в животе. Лаб. анализы не изменены.
Бабушка из отделения сестринского ухода, без жалоб на боли в животе. Лаб. анализы не изменены.
- KsV
- Администратор
- Сообщения: 2191
- Зарегистрирован: 22 фев 2009, 13:38
- Откуда: Беларусь-Lietuva
- Контактная информация:
Re: Фарфоровый желчный пузырь (Porcelain gallbladder)
Дифдиагноз
Острый эмфизематозный холецистит.
Клиника + реверберация а не тень + подвижность газа.
Острый эмфизематозный гангренозный деструктивный холецистит.
Острый эмфизематозный холецистит.
Клиника + реверберация а не тень + подвижность газа.
Острый эмфизематозный гангренозный деструктивный холецистит.
- valeriy.andilevko
- Сообщения: 194
- Зарегистрирован: 01 мар 2011, 19:34
- Откуда: Витебск
- Контактная информация:
Re: Фарфоровый желчный пузырь (Porcelain gallbladder)
Какова тактика? Фарфоровый желчный пузырь - подозрение на Сr?
- KsV
- Администратор
- Сообщения: 2191
- Зарегистрирован: 22 фев 2009, 13:38
- Откуда: Беларусь-Lietuva
- Контактная информация:
Re: Фарфоровый желчный пузырь (Porcelain gallbladder)
Выскажу свое мнение.
Если кальциноз стенки полный и содержимое пузыря осмотру не доступно, то есть показания к проведению КТ-МРТ. Если стенки инкрустированы частично (как в представленных случаях) и можно оценить характер содержимого и структуру стенок, то можно ограничиться только УЗИ. Далее, если есть подозрение на опухоль то пациента направляют к онкологу, а он сам определяет дальнейшую тактику.
Кстати, впервые вижу подобную патологию. Может потому что здесь в нашем городке в советское время вовсю "дымил" цементный завод?
Если кальциноз стенки полный и содержимое пузыря осмотру не доступно, то есть показания к проведению КТ-МРТ. Если стенки инкрустированы частично (как в представленных случаях) и можно оценить характер содержимого и структуру стенок, то можно ограничиться только УЗИ. Далее, если есть подозрение на опухоль то пациента направляют к онкологу, а он сам определяет дальнейшую тактику.
Кстати, впервые вижу подобную патологию. Может потому что здесь в нашем городке в советское время вовсю "дымил" цементный завод?
- valeriy.andilevko
- Сообщения: 194
- Зарегистрирован: 01 мар 2011, 19:34
- Откуда: Витебск
- Контактная информация:
Re: Фарфоровый желчный пузырь (Porcelain gallbladder)
Цитата из книги "Секреты компьютерной томографии"Джон Стрэнг, Викрам Догра :
Что такое фарфоровый желчный пузырь?
Это форма хронического холецистита с кальцификацией стенки ЖП. Термин "фарфоровый" отражает голубоватый оттенок и хрупкую консистенцию ЖП. У мужчин возникает в 5 раз чаще. Кальцификация стенки представляет собой либо непрерывную кальцификацию мышечного слоя, либо прерывистую кальцификацию слизистой и подслизистой. У таких больных высока частота возникновения рака ЖП (11-33%) Каждый раз, когда при УЗИ имеется подозрение на фарфоровый ЖП, для подтверждения диагноза и оценки степени злокачественности проводят КТ
Что такое фарфоровый желчный пузырь?
Это форма хронического холецистита с кальцификацией стенки ЖП. Термин "фарфоровый" отражает голубоватый оттенок и хрупкую консистенцию ЖП. У мужчин возникает в 5 раз чаще. Кальцификация стенки представляет собой либо непрерывную кальцификацию мышечного слоя, либо прерывистую кальцификацию слизистой и подслизистой. У таких больных высока частота возникновения рака ЖП (11-33%) Каждый раз, когда при УЗИ имеется подозрение на фарфоровый ЖП, для подтверждения диагноза и оценки степени злокачественности проводят КТ
Кто сейчас на конференции
Сейчас этот форум просматривают: нет зарегистрированных пользователей и 1 гость