Мукоцеле аппендикса

Печень, желчный пузырь, поджелудочная железа, селезенка. Кишечник.
Изображения для консультации
Ответить
Аватара пользователя
KsV
Администратор
Сообщения: 2191
Зарегистрирован: 22 фев 2009, 13:38
Откуда: Беларусь-Lietuva
Контактная информация:

Мукоцеле аппендикса

Сообщение KsV »

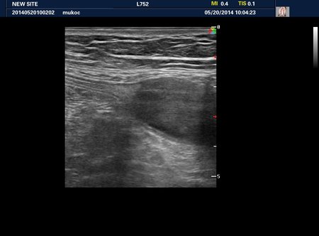
Пожилая женщина. Дистальный участок аппендикса кистозно расширен, с жидким содержимым.
Не уверен, что случай удастся верифицировать, поэтому публикую его в "Консультациях"

phpBB [video]

may202014100424.jpg
Ответить

Вернуться в «Абдоминальные исследования»

Кто сейчас на конференции

Сейчас этот форум просматривают: нет зарегистрированных пользователей и 1 гость