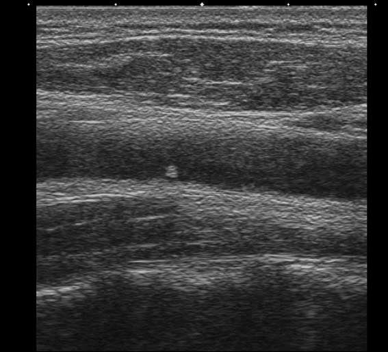
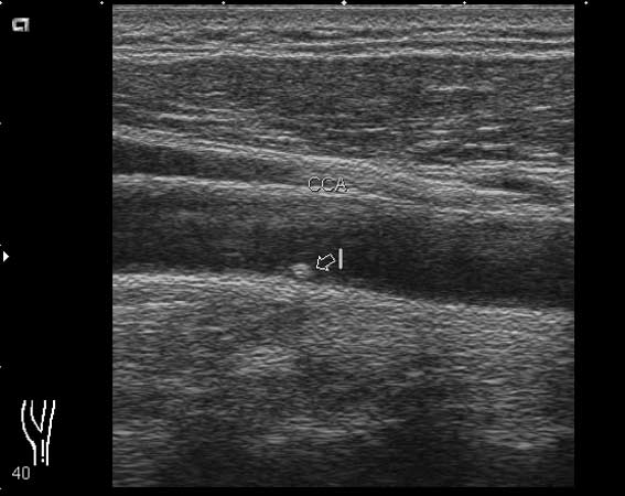
мужчина, 49 лет, при обследовании БЦА в общей сонной артерии визуализируется округлое образование 1.7х2.0 мм
ваше мнение?
Общая сонная артерия
Re: Общая сонная артерия
Бляшка, sorry.
Re: Общая сонная артерия
не похоже 
Re: Общая сонная артерия
Ой, кто здесь?. Я думал нет никого. А похоже-не похоже...- всё равно других версий нет.
- KsV
- Администратор
- Сообщения: 2189
- Зарегистрирован: 22 фев 2009, 13:38
- Откуда: Беларусь-Lietuva
- Контактная информация:
Re: Общая сонная артерия
Кальцинированная атеросклеротическая бляшка. Для уточнения ее истинного размера примените энергетический доплер.
Re: Общая сонная артерия
локальная атеросклеротическая бяшка, которая не вызовет гемодинамически значимых изменений(если оценивать бляшку только в продольном сечении)
Кто сейчас на конференции
Сейчас этот форум просматривают: нет зарегистрированных пользователей и 1 гость