RCC. Тип "опухоль в кисте"

Почки, мочеточники, мочевой пузырь, уретра. Простата и яички.

Модератор: KsV

Ответить
Аватара пользователя
KsV
Администратор
Сообщения: 2191
Зарегистрирован: 22 фев 2009, 13:38
Откуда: Беларусь-Lietuva
Контактная информация:

RCC. Тип "опухоль в кисте"

Сообщение KsV »

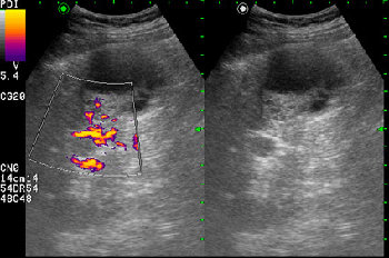
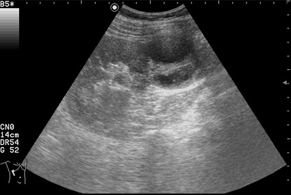
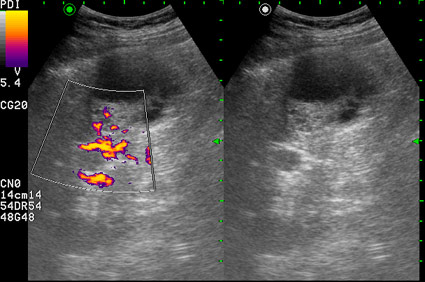
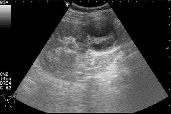
Сонограмма правой почки у женщины 42 лет. Женщина болеет сахарным диабетом, профилактический осмотр.
AAJQ.jpg
AAKJ.jpg
Как трактовать выявленные изменения? Какова тактика врача УЗД в данной ситуации?
besliu
Сообщения: 142
Зарегистрирован: 11 окт 2009, 08:31
Контактная информация:

Re: Сонограмма правой почки у женщины 42 лет

Сообщение besliu »

по Bosniak-type3-indetrminate lezion- показана биопсия
Аватара пользователя
Инга
Сообщения: 216
Зарегистрирован: 23 ноя 2009, 17:22
Контактная информация:

Re: Сонограмма правой почки у женщины 42 лет

Сообщение Инга »

Почечно-клеточный рак, тип "опухоль в кисте" ?
Аватара пользователя
KsV
Администратор
Сообщения: 2191
Зарегистрирован: 22 фев 2009, 13:38
Откуда: Беларусь-Lietuva
Контактная информация:

Re: Сонограмма правой почки у женщины 42 лет

Сообщение KsV »

Инга писал(а):Почечно-клеточный рак, тип "опухоль в кисте" ?
Ну вот, так не честно.
Хотя...
По крайней мере понятно, что книжки читаете. И скорость чтения определить можно.... ;)
Аватара пользователя
KsV
Администратор
Сообщения: 2191
Зарегистрирован: 22 фев 2009, 13:38
Откуда: Беларусь-Lietuva
Контактная информация:

Re: Сонограмма правой почки у женщины 42 лет

Сообщение KsV »

RCC. Тип "опухоль в кисте".

В архив.
Ответить

Вернуться в «Уронефрологические исследования»

Кто сейчас на конференции

Сейчас этот форум просматривают: нет зарегистрированных пользователей и 1 гость