Онкоцитома почки - УЗИ

Почки, мочеточники, мочевой пузырь, уретра. Простата и яички.

Модератор: KsV

Ответить
Аватара пользователя
KsV
Администратор
Сообщения: 2189
Зарегистрирован: 22 фев 2009, 13:38
Откуда: Беларусь-Lietuva
Контактная информация:

Онкоцитома почки - УЗИ

Сообщение KsV »

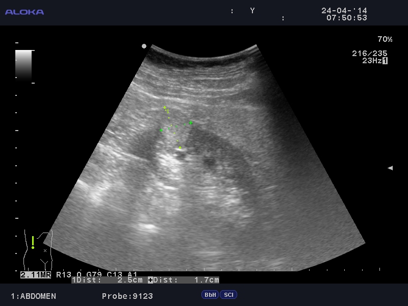
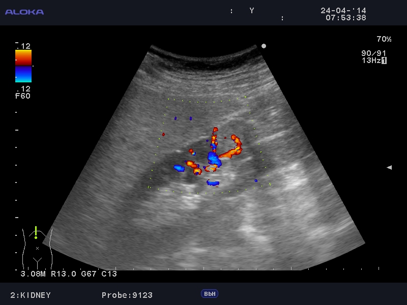
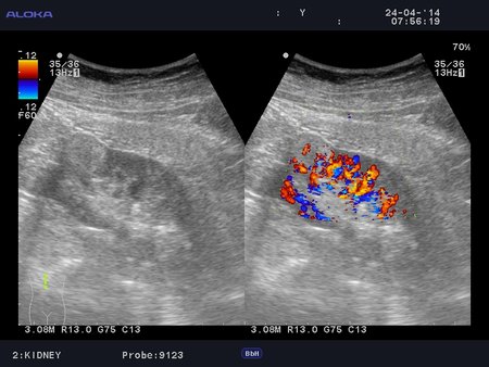
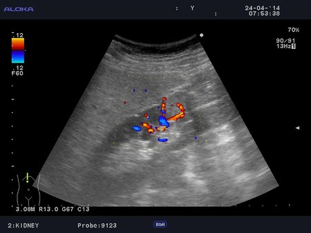
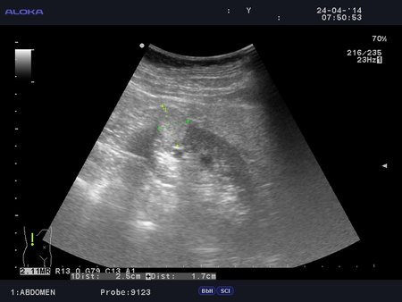
Женщина 76 лет. Жалоб не предъявляет.
t6_20140424_ABDOMEN_0002.JPG
t6_20140424_KIDNEY_0016.JPG
t6_20140424_KIDNEY_0011.JPG
t6_20140424_KIDNEY_0013.JPG
phpBB [video]

phpBB [video]


Renal oncocytoma
Ответить

Вернуться в «Уронефрологические исследования»

Кто сейчас на конференции

Сейчас этот форум просматривают: нет зарегистрированных пользователей и 1 гость