УЗИ, паразитарная киста печени

Печень, желчный пузырь, поджелудочная железа, селезенка. Кишечник.
Только верифицированые изображения
Ответить
Anastasia
Сообщения: 423
Зарегистрирован: 07 янв 2013, 14:09
Откуда: г. Могилёв
Контактная информация:

УЗИ, паразитарная киста печени

Сообщение Anastasia »

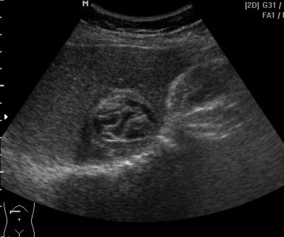
Бабушка из терапевтического отделения, которую беспокоит боль в правом подреберье.
phpBB [video]
Вложения
чужой.JPG
чужой.JPG (21.26 КБ) 509 просмотров
чужой1.JPG
чужой1.JPG (17.29 КБ) 509 просмотров
Последний раз редактировалось Anastasia 30 окт 2015, 14:26, всего редактировалось 1 раз.
Аватара пользователя
KsV
Администратор
Сообщения: 2191
Зарегистрирован: 22 фев 2009, 13:38
Откуда: Беларусь-Lietuva
Контактная информация:

Re: чужой

Сообщение KsV »

Неужели паразитарная киста?
Anastasia
Сообщения: 423
Зарегистрирован: 07 янв 2013, 14:09
Откуда: г. Могилёв
Контактная информация:

Re: чужой

Сообщение Anastasia »

Да, эхонококк.Диагноз подтвержден методом ИФА. Оперативное лечение не показано. Было назначено консервативное лечение. Разместила больше не как загадку (картинка как из учебника), а потому что "красотой" захотелось поделиться :) .
У бабушки 30 котов.
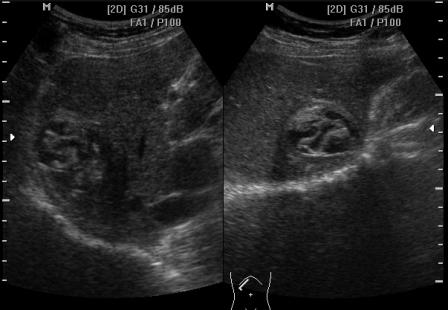
Спустя 8 месяцев повторный осмотр (после проведенного лечения):
phpBB [video]
Аватара пользователя
KsV
Администратор
Сообщения: 2191
Зарегистрирован: 22 фев 2009, 13:38
Откуда: Беларусь-Lietuva
Контактная информация:

Re: чужой

Сообщение KsV »

Какая прелесть! (С)

А просто сонограмма есть этого чуда?
И какой анализ сделан и где? В свое время пытался уточнить и в СЭС и в университете этот вопрос - безуспешно.
Anastasia
Сообщения: 423
Зарегистрирован: 07 янв 2013, 14:09
Откуда: г. Могилёв
Контактная информация:

Re: чужой

Сообщение Anastasia »

ИФА на эхинококкоз. Отправляли кровь в ОблЦГЭ. 8 месяцев назад, когда выявили, титр был 1:200, сейчас 1:400.
Ответить

Вернуться в «Абдоминальные исследования»

Кто сейчас на конференции

Сейчас этот форум просматривают: нет зарегистрированных пользователей и 1 гость