УЗИ: гигантский полип, тубуло-ворсинчатая аденома толстой кишки. Colon tubulovillous adenomas, ultrasonography.

Печень, желчный пузырь, поджелудочная железа, селезенка. Кишечник.
Только верифицированые изображения
Ответить
Аватара пользователя
KsV
Администратор
Сообщения: 2191
Зарегистрирован: 22 фев 2009, 13:38
Откуда: Беларусь-Lietuva
Контактная информация:

УЗИ: гигантский полип, тубуло-ворсинчатая аденома толстой кишки. Colon tubulovillous adenomas, ultrasonography.

Сообщение KsV »

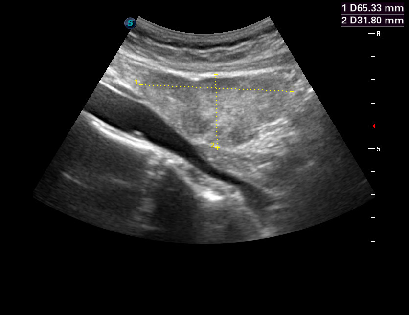
Молодая женщина, часто боли внизу живота справа, лежала несколько раз в гинекологическом отделении.

Мезогастриум справа.
jun022015084853_5.jpg
phpBB [video]

phpBB [video]
Аватара пользователя
KsV
Администратор
Сообщения: 2191
Зарегистрирован: 22 фев 2009, 13:38
Откуда: Беларусь-Lietuva
Контактная информация:

Re: УЗИ ОБП

Сообщение KsV »

Брехт писал(а):Дистопия
Почки обычного положения.
Аватара пользователя
KsV
Администратор
Сообщения: 2191
Зарегистрирован: 22 фев 2009, 13:38
Откуда: Беларусь-Lietuva
Контактная информация:

Re: УЗИ ОБП

Сообщение KsV »

Ответ есть, даже гистологический.

Огромный полип толстой кишки.
Выполнена колоноскопия, обнаружено внутрикишечное образование больших размеров, взята гистология.
Затем полип удалили вместе с частью кишки.
Гистология - тубулярно-ворсинчатая аденома (tubulovillous adenomas).
Ответить

Вернуться в «Абдоминальные исследования»

Кто сейчас на конференции

Сейчас этот форум просматривают: нет зарегистрированных пользователей и 1 гость