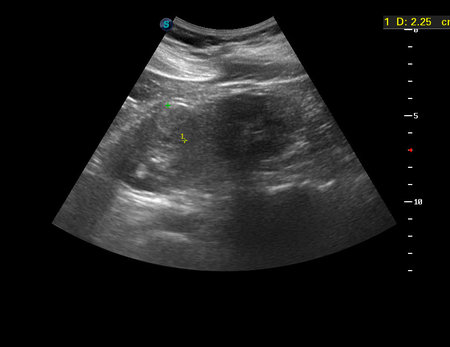
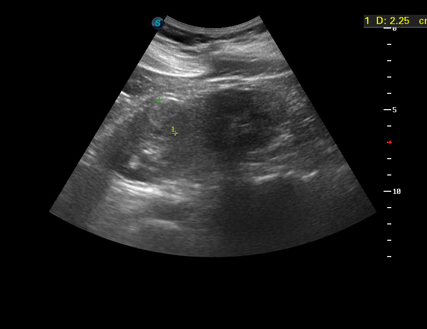
УЗИ, рак почки, малая опухоль. RCC, small tumor, ultrasonography.

Почки, мочеточники, мочевой пузырь, уретра. Простата и яички.

Модератор: KsV

Ответить
Аватара пользователя
KsV
Администратор
Сообщения: 2191
Зарегистрирован: 22 фев 2009, 13:38
Откуда: Беларусь-Lietuva
Контактная информация:

УЗИ, рак почки, малая опухоль. RCC, small tumor, ultrasonography.

Сообщение KsV »

Женщина средних лет, жалоб не предъявляет.

Левая почка.

phpBB [video]

nov272015085251_4.jpg
Аватара пользователя
KsV
Администратор
Сообщения: 2191
Зарегистрирован: 22 фев 2009, 13:38
Откуда: Беларусь-Lietuva
Контактная информация:

Re: УЗИ, рак почки, малая опухоль. RCC, small tumor, ultrasonography.

Сообщение KsV »

Брехт писал(а):узисту медаль
Высылайте. Адрес сброшу в личку )
Ответить

Вернуться в «Уронефрологические исследования»

Кто сейчас на конференции

Сейчас этот форум просматривают: нет зарегистрированных пользователей и 1 гость