желчный пузырь

Печень, желчный пузырь, поджелудочная железа, селезенка. Кишечник.
Изображения для консультации
Ответить
Anastasia
Сообщения: 423
Зарегистрирован: 07 янв 2013, 14:09
Откуда: г. Могилёв
Контактная информация:

желчный пузырь

Сообщение Anastasia »

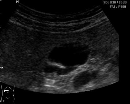
Мужчина 55 лет
phpBB [video]

phpBB [video]
Вложения
1.JPG
1.JPG (15.56 КБ) 548 просмотров
2.JPG
2.JPG (25.56 КБ) 548 просмотров
Аватара пользователя
KsV
Администратор
Сообщения: 2189
Зарегистрирован: 22 фев 2009, 13:38
Откуда: Беларусь-Lietuva
Контактная информация:

Re: желчный пузырь

Сообщение KsV »

Конкременты?
Пациент ворочается?)
Anastasia
Сообщения: 423
Зарегистрирован: 07 янв 2013, 14:09
Откуда: г. Могилёв
Контактная информация:

Re: желчный пузырь

Сообщение Anastasia »

Лежал он во время осмотра и на животе, и на спине, и на обоих боках и даже постоял, но в сторону дна, в желчном, ничего смещаться не захотело ).
Anastasia
Сообщения: 423
Зарегистрирован: 07 янв 2013, 14:09
Откуда: г. Могилёв
Контактная информация:

Re: желчный пузырь

Сообщение Anastasia »

Написала: аденоматозный полип? конкременты? Буду его пересматривать недели через 2-3- может понятней будет.
Natalya
Сообщения: 7
Зарегистрирован: 11 ноя 2015, 09:23
Контактная информация:

Re: желчный пузырь

Сообщение Natalya »

Видео что-то у меня не идет, а по фото не похоже на конкременты.
besliu
Сообщения: 142
Зарегистрирован: 11 окт 2009, 08:31
Контактная информация:

Re: желчный пузырь

Сообщение besliu »

Я за образование(стелющийся полип)Не похоже на конкремент
Anastasia
Сообщения: 423
Зарегистрирован: 07 янв 2013, 14:09
Откуда: г. Могилёв
Контактная информация:

Re: желчный пузырь

Сообщение Anastasia »

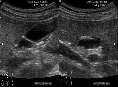
Ровно через месяц:
phpBB [video]

phpBB [video]

phpBB [video]

Написала "аденоматозный полип?".
Возможно, пациент поедет на КТ. Проследить случай, думаю, получится.
Аватара пользователя
KsV
Администратор
Сообщения: 2189
Зарегистрирован: 22 фев 2009, 13:38
Откуда: Беларусь-Lietuva
Контактная информация:

Re: желчный пузырь

Сообщение KsV »

Да, интересно.
Anastasia
Сообщения: 423
Зарегистрирован: 07 янв 2013, 14:09
Откуда: г. Могилёв
Контактная информация:

Re: желчный пузырь

Сообщение Anastasia »

КТ никаких проблем в желчном пузыре не выявила.
Ответить

Вернуться в «Абдоминальные исследования»

Кто сейчас на конференции

Сейчас этот форум просматривают: нет зарегистрированных пользователей и 1 гость