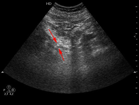
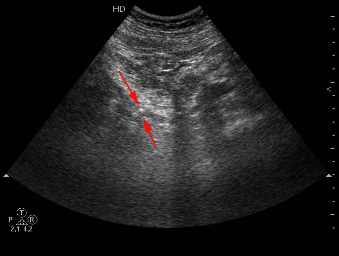
Пожилой мужчина с невыраженными болями в пояснице слева и микрогематурией.
УЗИ инспекция мочеточника. Sonographic inspection of an ureter
Модератор: KsV
Re: УЗИ инспекция мочеточника. Sonographic inspection of an ureter
ого! до юкставезикального отдела инпекция 
Кто сейчас на конференции
Сейчас этот форум просматривают: нет зарегистрированных пользователей и 1 гость