Опухоль почки. Renal tumor.

Почки, мочеточники, мочевой пузырь, уретра. Простата и яички.

Модератор: KsV

Ответить
Аватара пользователя
KsV
Администратор
Сообщения: 2191
Зарегистрирован: 22 фев 2009, 13:38
Откуда: Беларусь-Lietuva
Контактная информация:

Опухоль почки. Renal tumor.

Сообщение KsV »

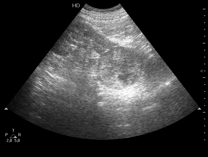
Мужчина средних лет. Жалоб нет.
Гистология - RCC.
07-11-05-130605_20071105_140438_0000.jpg
phpBB [video]
Ответить

Вернуться в «Уронефрологические исследования»

Кто сейчас на конференции

Сейчас этот форум просматривают: нет зарегистрированных пользователей и 1 гость