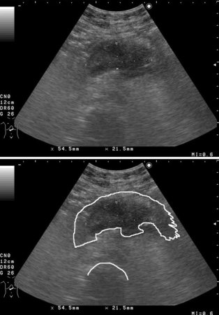
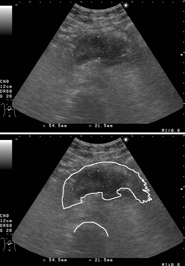
Опухоль тела панкреас. Pancreatic body tumor.

Печень, желчный пузырь, поджелудочная железа, селезенка. Кишечник.
Только верифицированые изображения
Ответить
Аватара пользователя
KsV
Администратор
Сообщения: 2191
Зарегистрирован: 22 фев 2009, 13:38
Откуда: Беларусь-Lietuva
Контактная информация:

Опухоль тела панкреас. Pancreatic body tumor.

Сообщение KsV »

38-летняя женщина с болями в животе с иррадиацией в спину.
На КТ (без контрастирования - 2000 год) патологии не выявлено.
panctum.jpg
Ответить

Вернуться в «Абдоминальные исследования»

Кто сейчас на конференции

Сейчас этот форум просматривают: нет зарегистрированных пользователей и 1 гость