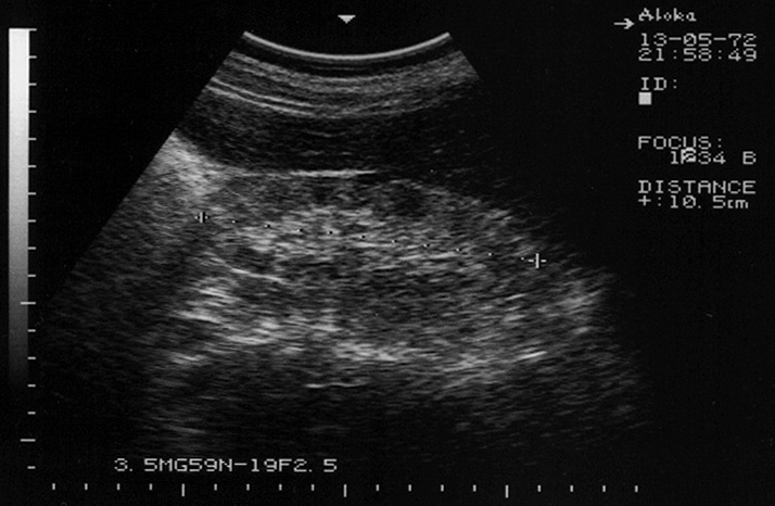
Амилоидоз почек. Renal amyloidosis

Почки, мочеточники, мочевой пузырь, уретра. Простата и яички.

Модератор: KsV

Ответить
Аватара пользователя
KsV
Администратор
Сообщения: 2191
Зарегистрирован: 22 фев 2009, 13:38
Откуда: Беларусь-Lietuva
Контактная информация:

Амилоидоз почек. Renal amyloidosis

Сообщение KsV »

Диагноз доказан морфологически.
amyloid1.jpg
amyloid2.jpg
Ответить

Вернуться в «Уронефрологические исследования»

Кто сейчас на конференции

Сейчас этот форум просматривают: нет зарегистрированных пользователей и 1 гость