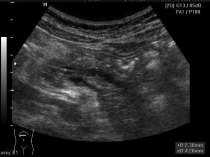
На момент осмотра пациентку ничего не беспокоит. В моче диастаза 3300.
Размеры поджелудочной:16мм -11мм-17мм
Как в данном случае правильно написать заключение? ( "признаки хр. калькулезного панкреатита" или "вирсунголитиаз")
панкреатит
-
Anastasia
- Сообщения: 423
- Зарегистрирован: 07 янв 2013, 14:09
- Откуда: г. Могилёв
- Контактная информация:
панкреатит
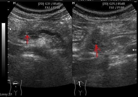
- Вложения
-
- 11.JPG (24.11 КБ) 338 просмотров
-
- 2.JPG (18.62 КБ) 338 просмотров
-
- 3.JPG (19.78 КБ) 338 просмотров
- KsV
- Администратор
- Сообщения: 2191
- Зарегистрирован: 22 фев 2009, 13:38
- Откуда: Беларусь-Lietuva
- Контактная информация:
Re: панкреатит
Можно и нужно указать и то и другое.
Хронический калькулезный панкреатит, вирсунголитиаз.
Хронический калькулезный панкреатит, вирсунголитиаз.
-
Anastasia
- Сообщения: 423
- Зарегистрирован: 07 янв 2013, 14:09
- Откуда: г. Могилёв
- Контактная информация:
Re: панкреатит
Это было 2 месяца назад, пациентке 10 лет. Пару лет назад был острый панкреатит.
Я вынесла "хронический кальцифицирующий панкреатит", а о расширенном протоке с камнем написала и подчеркнула в описании, снимки приложила.
Отправляли её в областную больницу, но родители поехали, как потом оказалось, домой. В областную девочка попала спустя 2 недели с диагнозом острый панкреатит. Там 3 раза делали УЗИ- поджелудочная в норме.
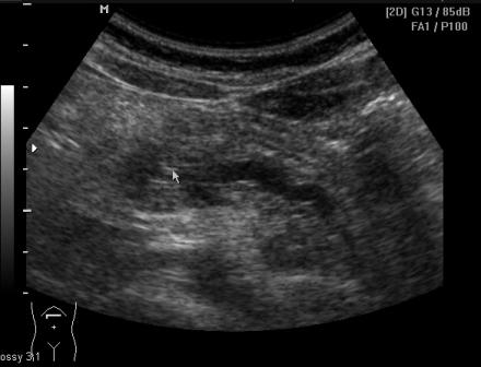
Сегодня девочка пришла на плановое УЗИ:
Я вынесла "хронический кальцифицирующий панкреатит", а о расширенном протоке с камнем написала и подчеркнула в описании, снимки приложила.
Отправляли её в областную больницу, но родители поехали, как потом оказалось, домой. В областную девочка попала спустя 2 недели с диагнозом острый панкреатит. Там 3 раза делали УЗИ- поджелудочная в норме.
Сегодня девочка пришла на плановое УЗИ:
- KsV
- Администратор
- Сообщения: 2191
- Зарегистрирован: 22 фев 2009, 13:38
- Откуда: Беларусь-Lietuva
- Контактная информация:
Re: панкреатит
В вирсунговом протоке может быть слизистая пробка, которая может выглядеть почти как конкремент.
Но такое бывает крайне редко.
Но такое бывает крайне редко.
Кто сейчас на конференции
Сейчас этот форум просматривают: нет зарегистрированных пользователей и 1 гость