Опухоль головки панкреас - работа над ошибками

Печень, желчный пузырь, поджелудочная железа, селезенка. Кишечник.
Только верифицированые изображения
Ответить
Аватара пользователя
KsV
Администратор
Сообщения: 2191
Зарегистрирован: 22 фев 2009, 13:38
Откуда: Беларусь-Lietuva
Контактная информация:

Опухоль головки панкреас - работа над ошибками

Сообщение KsV »

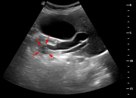
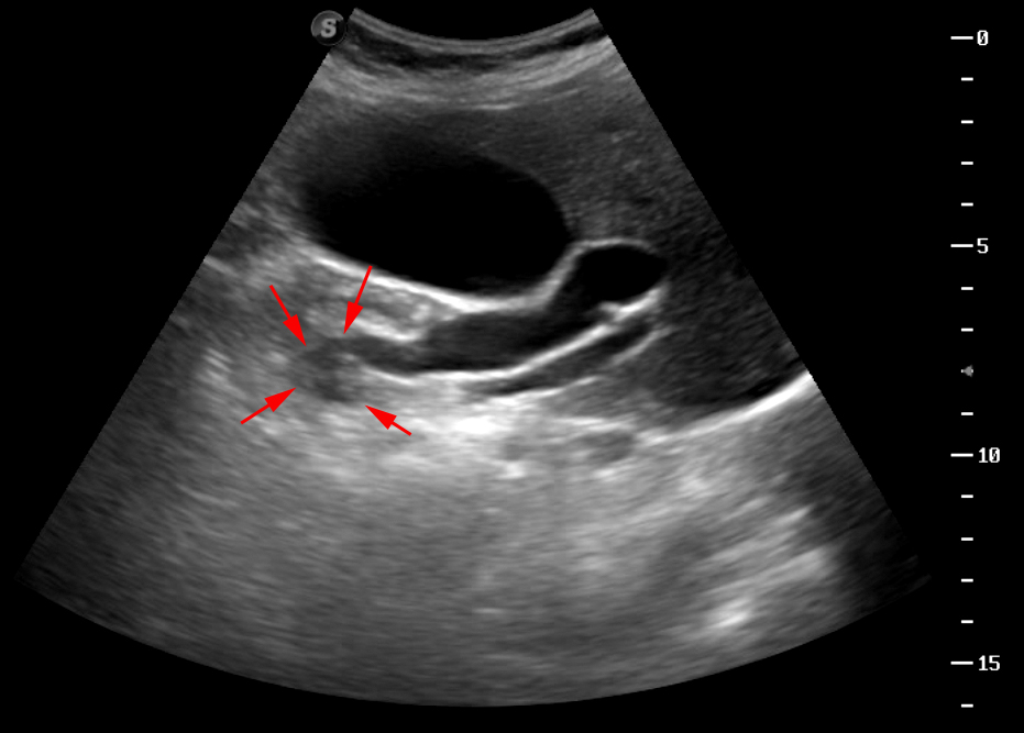
Пожилая женщина, без особых жалоб.

phpBB [video]


phpBB [video]

crpancr.jpg
Аватара пользователя
KsV
Администратор
Сообщения: 2191
Зарегистрирован: 22 фев 2009, 13:38
Откуда: Беларусь-Lietuva
Контактная информация:

Re: Опухоль головки панкреас - работа над ошибками

Сообщение KsV »

Сразу скажу, что опухоль я позорно просмотрел, хотя выявил признаки билиарной гипертензии.
Пересмотрите еще раз второй клип - вот как могут выглядеть признаки начальной панкреатической гипертензии.
Ответить

Вернуться в «Абдоминальные исследования»

Кто сейчас на конференции

Сейчас этот форум просматривают: Semrush [Bot] и 1 гость