Онкоцитома почки. Renal oncocytoma

Почки, мочеточники, мочевой пузырь, уретра. Простата и яички.

Модератор: KsV

Ответить
Anastasia
Сообщения: 423
Зарегистрирован: 07 янв 2013, 14:09
Откуда: г. Могилёв
Контактная информация:

Онкоцитома почки. Renal oncocytoma

Сообщение Anastasia »

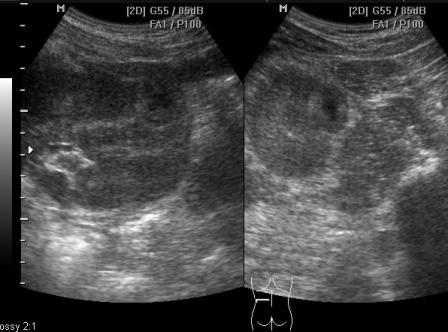
Молодой парень, 23 года, с жалобами на боль в пояснице, повышение температуры тела до 39. В ОАК лейкоцитоз. В ОАМ протеинурия, лейкоцитурия.
УЗИ ОБП: спленомегалия.
УЗИ почек:
Левая почка:
phpBB [video]

phpBB [video]


Правая почка:
phpBB [video]
Аватара пользователя
KsV
Администратор
Сообщения: 2189
Зарегистрирован: 22 фев 2009, 13:38
Откуда: Беларусь-Lietuva
Контактная информация:

Re: Всё просто?

Сообщение KsV »

Похоже на апостематозный пиелонефрит и карбункул левой почки. Сепсис?
Anastasia
Сообщения: 423
Зарегистрирован: 07 янв 2013, 14:09
Откуда: г. Могилёв
Контактная информация:

Re: Всё просто?

Сообщение Anastasia »

Вот и я на 100% была уверена, что это карбункул. Это было почти 3 года назад. Парня перевезли в областную больницу, повторили узи, сделали кт ("нельзя исключить карбункул") и взяли на операцию. В ходе операции выяснилось, что это не карбункул, взяли биопсию. В результате- онкоцитома :shock: Прооперирован.
Аватара пользователя
KsV
Администратор
Сообщения: 2189
Зарегистрирован: 22 фев 2009, 13:38
Откуда: Беларусь-Lietuva
Контактная информация:

Re: Всё просто?

Сообщение KsV »

Так отличное же наблюдение!
КТ нет картинки случаем?
И обычной демонстративной сонограммы?

Онкоцитомы - редкая патология. Обычно в центре д.б. рубец, а здесь - очаг распада (?)
Век живи - век учись....
Anastasia
Сообщения: 423
Зарегистрирован: 07 янв 2013, 14:09
Откуда: г. Могилёв
Контактная информация:

Re: Онкоцитома почки. Renal oncocytoma

Сообщение Anastasia »

КТ, к сожалению, нет.
Вложения
онкоцитома..JPG
онкоцитома..JPG (25.69 КБ) 975 просмотров
Аватара пользователя
KsV
Администратор
Сообщения: 2189
Зарегистрирован: 22 фев 2009, 13:38
Откуда: Беларусь-Lietuva
Контактная информация:

Re: Онкоцитома почки. Renal oncocytoma

Сообщение KsV »

Спасибо
Ответить

Вернуться в «Уронефрологические исследования»

Кто сейчас на конференции

Сейчас этот форум просматривают: нет зарегистрированных пользователей и 1 гость