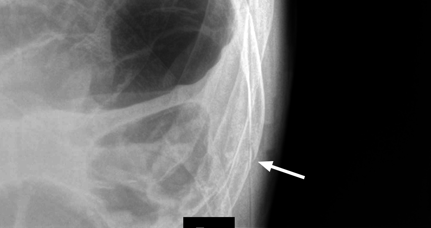
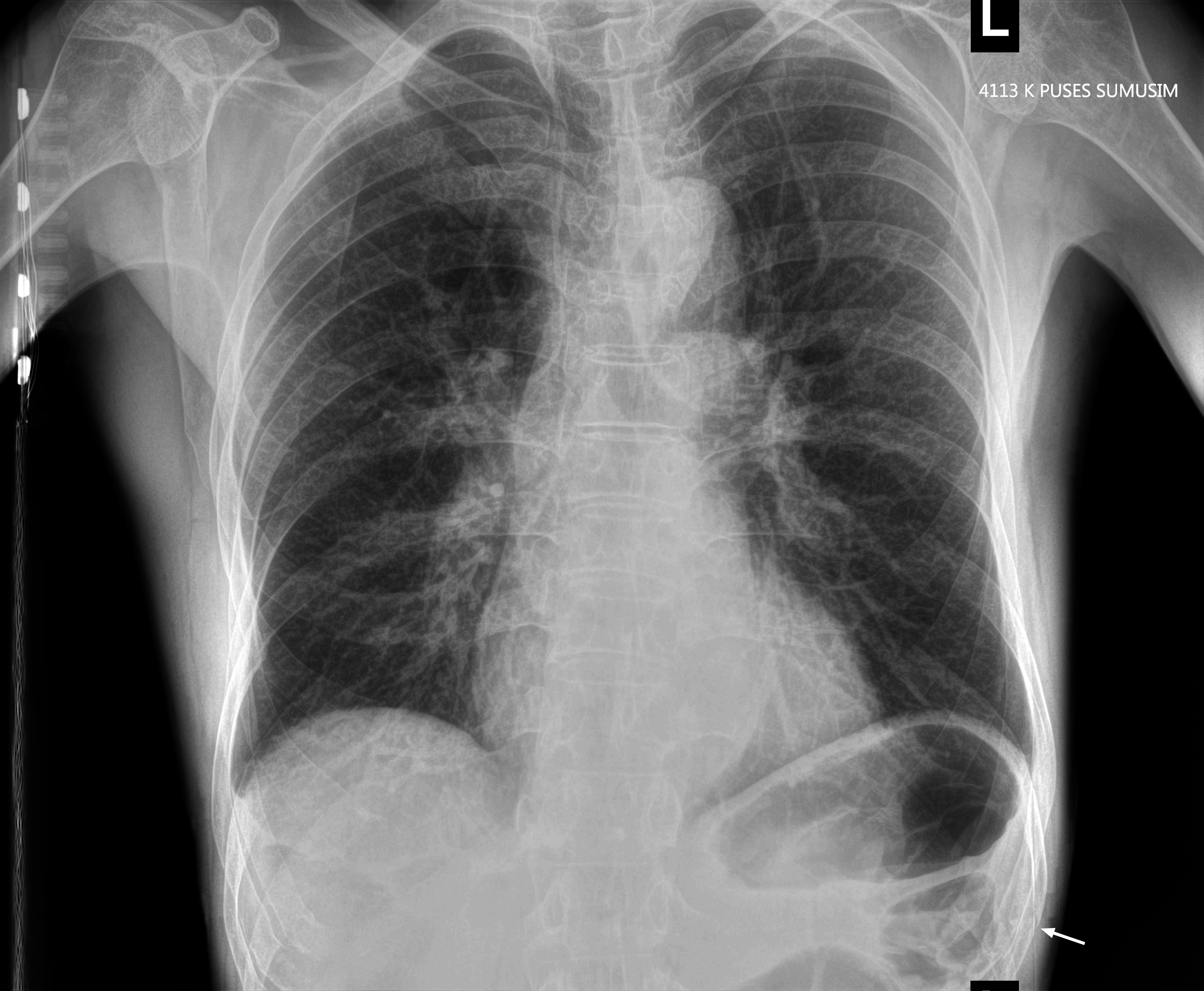
Мужчина средних лет, упал с лестницы 2 недели назад
20170818_083707
Перелом ребра
Кто сейчас на конференции
Сейчас этот форум просматривают: нет зарегистрированных пользователей и 0 гостей
Сейчас этот форум просматривают: нет зарегистрированных пользователей и 0 гостей