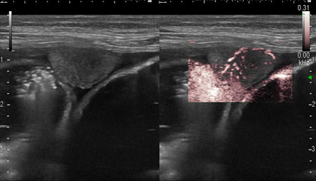
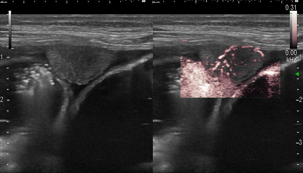
Канцероматоз брюшины у больной с опухолью толстой кишки

Печень, желчный пузырь, поджелудочная железа, селезенка. Кишечник.
Только верифицированые изображения
Ответить
Аватара пользователя
KsV
Администратор
Сообщения: 2189
Зарегистрирован: 22 фев 2009, 13:38
Откуда: Беларусь-Lietuva
Контактная информация:

Канцероматоз брюшины у больной с опухолью толстой кишки

Сообщение KsV »

Канцероматоз брюшины у больной с опухолью толстой кишки
canc_0046.jpg
Линейный датчик 7-11 МГц.
Ответить

Вернуться в «Абдоминальные исследования»

Кто сейчас на конференции

Сейчас этот форум просматривают: нет зарегистрированных пользователей и 1 гость